Author(s):
Angelo Troedhan*
Institute for Maxillofacial Surgery and Dentistry, General Hospital of Vienna “Hietzing”, Wolkersbergenstraße 1, Pavillon 3a, 1130 Vienna
Received: 08 March, 2015; Accepted: 30 March, 2015; Published: 31 March, 2015
Troedhan Angelo, Institute for Maxillofacial Surgery and Dentistry, General Hospital of Vienna “Hietzing”, Wolkersbergenstraße 1, Pavillon 3a, 1130 Vienna, Tel: (+43 1) 801 10 - 3202; Email:
Troedhan A (2015) Treatment-assessment of Zygoma-tripod, -quadripod, -arch and Orbital floor Fractures in the Elderly Patient: Results of a Longitudinal Clinical Study of 20 years (1995-2015) with 1318 Patients in a General Traumatology-department and Evidence-based Treatment Suggestions. Int J Oral Craniofac Sci 1(1): 006-016. DOI: 10.17352/2455-4634.000002
© 2015 Troedhan A. This is an open-access article distributed under the terms of the Creative Commons Attribution License, which permits unrestricted use, distribution, and reproduction in any medium, provided the original author and source are credited.
Zygoma; Injury; Tripod fracture; Quadripod fracture; Transcutaneous reduction; Open reduction; Elderly patient; Facial trauma; Maxillofacial surgery; Craniomaxillofacial surgery; Therapy
The ever growing population of elderly patients aged 70 years and onwards are prone to facial injuries caused by a general degrading medical and mental state. Main cause for zygoma-tripod, -quadripod, -arch and orbital floor fractures are falls, followed by traffic accidents and only to a small extent violence. Surgical reduction for these types of fractures is recommended but not correlated to the general medical and mental state of this patient-group. Aim of the study was to compare the outcomes of surgical treatment versus non-surgical observation.
Between 1995 and 2014 a total of 1318 patients - hospitalized for isolated zygoma- and correlated fractures - were initially screened for cause of accident, pain, hyp/anaesthesia of the corresponding infraorbital nerve, mandible mobility, facial emphysema/haematoma and diplopia and then distributed into three different groups: no functional and/or cosmetic surgery indication (X), surgery indication but denied by internist and/or anaesthesist due to high general medical risks (Y) and surgery indication and released for surgery by internist/anaesthesist (Z). Follow up for each group was performed on day 5, 7 and 1 month after date of injury.
Pain assessment revealed a significant higher pain-load for group Z on the 5th and 7th day after injury. Mandible mobility, facial emphysema/haematoma and diplopia improved significantly better in group X and Y on day 5, 7 and after 1 month compared to group Z. Hyp/anaesthesia of the corresponding infraorbital nerve improved generally but not significant between all three groups.
The results of this study suggest that indication for closed or even more for open-reduction surgery of isolated midface-bone fractures should be applied very restrictive and only in accordance with specialists for internal medicine and anaesthesiology for elderly patients and non-surgical observation might lead to better results both for life-quality and remaining life-time from the patients point of view.
Introduction
Although the incidence of zygoma- and related orbital-floor fractures decreased over the years towards the turn of the millennium for road-vehicle-accident related causes in the overall population of countries with mandatory passive and active safety-devices in cars and mandatory helmet-duty when motorcycling [1Covington DS, Wainwright DJ, Teichgraeber JF, Parks DH (1994) Changing patterns in the epidemiology and treatment of zygoma fractures: 10-year review. J Trauma 37: 243-248.], still zygoma-tripod and/or arch-fractures and related orbital-floor-fractures represent the most common trauma of facial bones representing a quarter of all cases, followed by generic orbital-floor-fractures [2Scherer M, Sullivan WG, Smith Jr DJ, Phillips LG, Robson MC (1989) An analysis of 1,423 facial fractures in 788 patients at an urban trauma center. J Trauma 29: 388-390.] and are now increasing again in recent years by ever higher numbers of bicyclists in urban and leisure-time traffic [3Gomes PP, Passeri LA, de Albergaria Barbosa JR (2006) A 5-year retrospective study of zygomatico-orbital complex and zygomatic arch fractures in Sao Paulo State, Brazil. J Oral Maxillofac Surg 64: 63-67.], general leisure-time sports activities [4Gassner R, Tuli T, Hächl O, Rudisch A, Ulmer H (2003) Cranio-maxillofacial trauma: a 10 year review of 9543 cases with 21067 injuries. J Craniomaxillofac Surg 31: 51-61.] and countries with strong increase of road-vehicle traffic [5Shankar AN, Shankar VN, Hegde N, Prasad R (2012) The pattern of the maxillofacial fractures–a multicentre retrospective study. J Craniomaxillofac Surg 40: 675-679.].
Few studies were published recently investigating the incidence and causes of facial-bone-trauma and prevalence of zygoma-tripod, -quadripod, - arch and orbital floor-fractures in the growing elderly population of 70 years + in various parts of the world [6Iida S, Hassfeld S, Reuther T, Schweigert HG, Haag C, et al. (2003) Maxillofacial fractures resulting from falls. J Craniomaxillofac Surg 31: 278-283.-11Velayutham L, Sivanandarajasingam A, O'Meara C, Hyam D (2013) Elderly patients with maxillofacial trauma: the effect of an ageing population on a maxillofacial unit's workload. Br J Oral Maxillofac Surg 51: 128-132.] but only isolated studies suggest therapy-guidelines for treatment modalities in this increasing patient-group with mostly general chronic-disease anamnesis [12Rahman NA, Ramli R, Rahman RA, Hussaini HM, Hamid ALA (2010) Facial trauma in geriatric patients in a selected Malaysian hospital. Geriatr Gerontol Int 10: 64-69.,13Arangio P, Leonardi A, Torre U, Bianca C, Cascone P (2012) Management of facial trauma in patients older than 75 years. J Craniofac Surg 23: 1690-1692.] which should be based on a multidisciplinary approach in accordance with specialists for internal medicine and anaesthesia [14Chen CW, Lin CC, Chen KB, Kuo YC, Li CY, et al. (2014) Increased risk of dementia in people with previous exposure to general anesthesia: A nationwide population-based case–control study. Alzheimers Dement 10: 196-204.], preventing Cranio-Maxillofacial (CMF) -surgery-induced major general medical complications [15 Inouye SK, Westendorp RG, Saczynski JS (2014) Delirium in elderly people. Lancet 383: 911-922.,16], which might lead to iatrogenic reduction of quality of life and possibly of life-time for the elderly patients.
Aim of the longitudinal study of 20 years was the unbiased evaluation of medical indications for Cranio-Maxillofacial (CMF)-surgical interventions in patients at an age of 70 years and onwards with isolated zygoma-tripod, -quadripod and/or arch-fractures and related fractures of the orbital-floor as well as the comparative analysis of outcomes of different therapeutic strategies from a patient-centered view of this ever growing group of elderly patients and finally to question the surgical treatment indication and -modality compared to younger people by a multidisciplinary approach.
Material and Methods
Starting from January 1st 1995 until December 31st 2014 a total number of 1392 patients was received at the Traumatology Unit of the General Hospital “Wilhelminenspital” of the City of Vienna (one of three main traumatology units in Vienna), aged from 70 years onward and presenting isolated zygoma-tripod and/or arch-fractures and related fractures of the orbital-floor in routine entrance CAT-Scan examinations without any additional injuries. This group of patients then was - beside routine diagnostics and anamnesis - specifically and standardized documented at hospitalization for:
I Cause of the injury (fall/traffic accident/violence)
II Blowing-nose activities post injury (to estimate influence on swelling parameter investigated)
A) Initial pain-assessment based on a 11-point numerical pain rating scale enhanced by the Wong-Baker FACES pain rating scale (Figure 1)
B) Hyp-/Anaesthesia of infraorbital nerve (2-point-discrimination-test)
C) Mobility of the mandible at speaking/chewing (no restrictions/ mild restrictions = no pain at speaking, only slight pain at masticating habitual food, feels like muscle-soreness, but acceptable/ heavy restrictions = speaking causes pain, mastication of habitual food causes heavy pain, pulpy/liquid food is preferred)
D) Extension of Facial haematoma and emphysema (periorbital/midface/full-face on injury-side)
E) Subjective awareness of diplopia
After hospitalization the patient-specific CAT-scans and results of the clinical investigation were analyzed and sorted into two categories which were also matched to the 11-point numerical pain rating scale enhanced by the Wong-Baker FACIAL expression pain-scale:
a) Fractures with no or minimal dislocation (max. 1 - 2,7 mm) and no fracture-stages/fracture-crepitations/maxillary mobility palpable in clinical investigation (Figure 2)
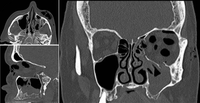
b) Fractures with dislocations above critical-size-defects (2,7mm [17Udagawa A, Sato S, Hasuike A, Kishida M, Arai Y, et al. (2013) Micro CT observation of angiogenesis in bone regeneration. Clin Oral Implants Res 24: 787-792.]) and/or fracture-stages/fracture-crepitations/maxillary mobility palpable in clinical investigation (Figure 3)
According to the category of the fracture-classification, patients were sorted into two therapy-groups from the CMF-surgeons point of view, basically with a less invasive approach than proposed in the literature [18Adam AADM, Zhi L, Zu Bing L, Xing WZ (2012) Evaluation of treatment of zygomatic bone and zygomatic arch fractures: a retrospective study of 10 years. J Maxillofac Oral Surg 11: 171-176.,19 Kelley P, Hopper R, Gruss J (2007) Evaluation and treatment of zygomatic fractures. Plast Reconstr Surg 120: 5S-15S.]. Basically a more conservative surgical treatment approach was followed [8Yamamoto K, Matsusue Y, Murakami K, Horita S, Sugiura T et al. (2011) Maxillofacial fractures in older patients. J Oral Maxillofac Surg 69: 2204-2210.,9Gandhi S, Ranganathan LK, Solanki M, Mathew GC, Singh I, et al. (2011) Pattern of maxillofacial fractures at a tertiary hospital in northern India: a 4 year retrospective study of 718 patients. Dent Traumatol 27: 257-262.] in favour of only closed transcutaneous fracture reduction [20Tadj A, Kimble FW (2003) Fractured zygomas. ANZ J Surg 73: 49-54.] and only optional open reduction, osteosynthesis and orbital-floor-reconstruction.
1.) Cat. a) - patients were assigned conservative treatment
2.) Cat. b) - patients were assigned closed transcutaneous fracture reduction with an option to open reduction and fixation with osteosynthesis-plates on the infraorbital rim and orbital floor reconstruction
After assigning the therapy-groups from the Cranio-Maxillofacial (CMF)-surgeons point of view a consiliary specialist in Ophthalmology investigated the patients for diplopia, its objective relevance - if existent - in relation to preexistent visual impairment and possible entrapment of eye-muscles.
A final decision-making-conference to determine final therapy for Cat. b)-patients then was held with a Specialist for Internal Medicine and the Chief-Anaesthesiologist, weighing the risks of the patients general medical condition [15Inouye SK, Westendorp RG, Saczynski JS (2014) Delirium in elderly people. Lancet 383: 911-922.,16Chen PL, Yang CW, Tseng YK, Sun WZ, Wang JL, et al. (2014) Risk of dementia after anaesthesia and surgery. Br J Psychiatry 204: 188-193.] and risks of short-time (closed reduction) or long-time (open reduction, osteosynthesis, orbital-floor-reconstruction) general anaesthesia [14Chen CW, Lin CC, Chen KB, Kuo YC, Li CY, et al. (2014) Increased risk of dementia in people with previous exposure to general anesthesia: A nationwide population-based case–control study. Alzheimers Dement 10: 196-204.] versus functional and/or aesthetic restitution of the patients midface by Cranio-Maxillofacial (CMF)-surgery resulting in two groups:
i) Observation group: risks of general anesthesia and surgery [14Chen CW, Lin CC, Chen KB, Kuo YC, Li CY, et al. (2014) Increased risk of dementia in people with previous exposure to general anesthesia: A nationwide population-based case–control study. Alzheimers Dement 10: 196-204.,15Inouye SK, Westendorp RG, Saczynski JS (2014) Delirium in elderly people. Lancet 383: 911-922.] outweigh possible benefits from surgery regarding possible long-term stomathognathic/visual disabilities
ii) Surgery group: risks of general anesthesia and surgery [14Chen CW, Lin CC, Chen KB, Kuo YC, Li CY, et al. (2014) Increased risk of dementia in people with previous exposure to general anesthesia: A nationwide population-based case–control study. Alzheimers Dement 10: 196-204.,15Inouye SK, Westendorp RG, Saczynski JS (2014) Delirium in elderly people. Lancet 383: 911-922.] acceptable towards possible benefits from surgery
Once decided in favour of surgical treatment, surgery took place latest by the end of the second day after hospitalization. All patients of both groups i) and ii) then were evaluated for A)-E) as on reception, starting on the fifth day after injury, the seventh day and after one month and compared to Cat. a)-patient-group resulting in three separate surveillance-groups: Group X (conservative treatment), Group Y (surgery indicated by CMF but contraindicated by Internist/Anaesthesist), Group Z (closed reduction-surgery performed)
Finally the total hospitalization-time at the traumatology-department was recorded by count of days and compared for each group. An evaluation of cosmetic results for all groups proved impossible from the patients point of view due to unreliable data acquisition because of vastly varying mental states within all patient groups.
All data were statistically processed and compared for mean value, standard deviation, bimodal discrete probability-distribution and T-Students-Test for significance (p<0.05).
-
Figure 2:
Samples of study-CAT-scans of patients aged 70+ showing minimal/below critical-size-defect dislocations of isolated zygoma-tripod and/or arch-fractures and related fractures of the orbital-floor.
-
Figure 3:
Samples of study-CAT-scans of patients aged 70+ showing above critical-size-defect dislocations of isolated zygoma-tripod and/or arch-fractures and related fractures of the orbital-floor.
Results
From 1392 hospitalized patients 74 patients had to be excluded from the study. Reasons for exclusion were:
Deceased during hospitalization (n=6; distribution: group X n=1, group Y n=1, group Z n=4)
Deceased after release from hospital before 1 month post injury (n=11; no data available on cause)
Missing documentation of clinical assessment/patients missing final follow up after 1 month (n=57)
1318 hospitalized patients finally were evaluated, injury causes and post-injury blowing nose-activities are cited in Table 1.
Initial pain-assessment at hospitalization revealed a mean pain value of 4,63 based on the 11-point numerical pain rating scale enhanced by the Wong-Baker FACES pain rating with a standard-deviation of 2,38 resulting in an empirical frequence distribution matching 5 on the pain-scale. Hyp- or anaesthesia of the corresponding infraorbital nerve was detected in 66.24% of cases, mild restrictions in mandible mobility (moderate pain in opening- and laterotrusal activities) in 30.12% and heavy restrictions (inability to fully open the mouth actively) in 3.64%, emphysema and haematome restricted to the periorbital area in 63.58%, midface 30.12% and full face in 7.66%, subjective Diplopia occurred in 29.36% (Table 2).
After separation of the patients according to CAT-Scan-results into Cat. a) and Cat. b)-groups all investigated parameters were assigned to the specific group revealing no significant difference (p=0,5) in subjective pain (Table 3) but significantly in all other parameters investigated (Table 4).
Cat. b) - group-patients then were assigned to conservative or surgical treatment according to the general risk analysis by the council of a Specialist for Internal Medicine, the Chief-Anaesthesiologist and the CMF-surgeon resulting in group Y-patients (n=326) presenting unbearable risks when undergoing even short and minimal invasive surgery and group Z-patients (n=272) released for surgery by the consiliary-group of physicians.
-
Table 3:
Pain assessment after separation in Cat. a) and Cat. b) - groups compared to cumulative values.
-
Table 4:
Comparison between Cat. a)- and Cat. b)-group regarding Hyp/Anaesthesia, mandible mobility-restrictions, location of haematoma/emphysema and diplopia.
Main reasons for vetoed surgery by the Specialist for Internal Medicine and the Chief-Anaesthesiologist were: not settable/interruptible ongoing anticoagulative therapy (n=93; 28.53%), untolerable cardiovascular risks (n=87; 26.69%), COPD (n=78; 23.93%), final stage cirrhosis of the liver (n=32; 9.82%), dementia (n=19; 5.83%), uncontrolled diabetes (n=12; 3.68%), nutritional/Kwashiorkor Marasmus (n=5; 1.53%).
The pain-assessment of group X, group Y and group Z on day 5, day 7 and 1 month after injury revealed only one significant difference for group Z (“surgery-group”) on day 5 after injury with an empirical frequence distribution on the pain-scale of 5 compared to 3 for group Y and 0 for group X (p<0.05) (Table 5).
-
Table 5:
Pain comparison between group X, Y and Z on day five, seven and one month after injury (mean pv = mean pain-value on the numerical pain-scale, std.dev. = Standard Deviation, efd = empirical frequence distribution of Wong-Baker enhanced numerical pain-scale, signific = Significance).
There was no significant difference regarding changes in hyp/anaesthesia of the injury-corresponding infraorbital nerve between all three groups (p>0.05) but significant differences in all other assessed parameters (mandible mobility, haematoma/emphysema, diplopia) with clinical worst results for group Z (p<0.05) at day 5 post injury (Table 6) and day 7 (Table 7).
In the 1-month assessment after injury significant differences were found only for the parameters hyp/anaesthesia of the infraorbital nerve between group Y and X/Z (p<0.05) and mandible mobility between group X/Y and Z (p<0.05) with group Z always showing the worst clinical results (Table 8).
Duration of hospitalization revealed a significant longer stay at the traumatology department for group Z compared to group X and Y (p<0.05) (Table 9).
Discussion
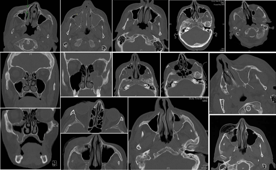
The zygoma - composed of woven bone - mostly cracks as tripod- or quadripod-fracture with lesser or major dislocations also of parts of the orbital-floor downwards and inwards relative to the maxillary sinus in vicinity to the foramen of the infraorbital nerve. Contrary to fractures of the long bones and the mandible the surfaces of the fractures show a very rough and uneven structure and the zygomatic arch does not always fracture necessarily due to the high elasticity of woven bone resulting in only a tripod-fracture stabilized by the zygomatic arch (Figure 4).
More rarely - probably because of wearing corrective glasses and main reason of injury is fall or traffic-accident (Table 1) - isolated blow-out fractures of the orbital floor occur in elderly patients. Both fracture types have in common vast intraorbital and at least periorbital eye-lid emphysema accompanied by haematoma which is attributed to post-accidental nose-blowing in 98.79% (Table 1, Figure 5). These intraorbital emphysema account for the occurrence of diplopia according to the eye-specialists exploration which is backed by the fact that in the one-month checkup less than 1% of the groups not undergoing surgery showed diplopia and 1.47% of the patients treated surgically.
Isolated fractures of the zygomatical-arch impose mostly as three-point-fractures inverting the convex shape of the arch with an appearance of a collapsed bridge (Figure 6).
-
Figure 4:
Fracture pattern of the zygoma: red: infraorbital fracture-site, turquois: orbital-floor fracture-site, blue: fracture-site of the zygomatico-alveolar process, green: fracture-site of the lateral orbital rim, black: fracture-site in the zygomatic-arch; a) minimal dislocated quadripod-fracture beyond critical-size-defect dislocation (<2,7mm), b) dislocated quadripod-fracture above critical-size dislocation (> 2,7mm).
-
Figure 5:
Isolated blow-out-fracture of the orbital floor with minimal dislocation and vast intraorbital emphysema.
-
Figure 6:
Isolated zygomatical arch fracture with the typical three-fracture-spots appearance (right picture).
Although CAT-Scan diagnosis and 3D-reconstructions (Figures 3, 4 and 6) are valuable tools to determine the precise fracture -pattern, number of and distance between fracture-fragments and volume of intraorbital emphysema, they cannot replace a thorough clinical investigation by palpation and functional analysis of the eye-bulbs and stomathognathic system which has to take place firsthand.
As the results of this study suggest, all vital functional parameters such as hyp/anaesthesia of the corresponding infraorbital nerve, function of the masticatory system and diplopia are directly and linear correlated to the severity of the fracture dislocation and the extension of emphysema and haematoma (Table 4).
Already at this stage the CMF-surgeon can determine an absolute (= major functional impairment of eye-bulb and/or the masticatory system) or relative (cosmetic) indication for surgical reduction of the zygoma tripod/quadripod/zygoma-arch and correlated orbital floor fracture based on the subjective patients sensations of impairment with a prospective outlook that most impairments at the time of hospitalization and first anamnestic and diagnostic assessment will normalize with a probability of more than 99% (Table 8) in case the CMF-surgeon decides against surgical reduction. Contrary, surgical intervention leads to lesser good functional results as the results of this study suggest. Above all, a final decision on surgical reduction should be made only after consultation of a specialist for internal medicine and the responsible anaesthesist to weigh the high general medical risks caused by the surgery against the now questionable benefits of fracture-reduction-surgery (Table 8).
Once all participating physicians agree on a low general medical risk when performing surgical reduction of the fracture, the type and invasiveness of the surgery has to be planned with respect to the general biological state of elderly patients and the biological processes of bone healing which might even be compromised [21Ozçelik D, Turan T, Kabukcuoglu F, Ugurlu K, Öztürk O, et al. (2003) Bone induction capacity of the periosteum and neonatal dura in the setting of the rat zygomatic arch fracture model. Arch Facial Plast Surg 5: 301-308] by invasive multiple-approach surgery [19Kelley P, Hopper R, Gruss J (2007) Evaluation and treatment of zygomatic fractures. Plast Reconstr Surg 120: 5S-15S.]. Mandatory open reduction and fracture-stabilization with osteosynthesis-plates [19Kelley P, Hopper R, Gruss J (2007) Evaluation and treatment of zygomatic fractures. Plast Reconstr Surg 120: 5S-15S.] have to be reconsidered strongly in the light of the results of the current study and the authors experience of 25 years with comparable good results with closed transcutaneous reduction even in young patients (unpublished data).
As stated above, the rough and spiky surface of the fractures and the tripodism/quadropodism of the fractured zygoma provides enough passive stability against muscular forces once reduced anatomically, in case of an isolated zygoma-arch-fracture by the restored convexity of the arch. Corresponding dislocations of parts of the orbital floor are reduced as well together with the body of the zygoma.
Surgery therefore should focus on minimal invasive transcutaneous fracture-reduction with only an option for stabilization of the reduction by osteosynthesis: a 3mm-incision is performed a finger-wide caudal of the zygoma-body into the cheek and a fracture-reduction hook inserted on the dorsal face of the zygoma-body. The infraorbital fracture-stage is palpated and the hook pulled strongly perpendicular to the zygoma-body outwards and upwards until the fractured segment snaps in with a characteristic “smacking” sound and the infraorbital fracture-stage can be palpated as fully reduced (Figure 7). Manual pressure loading of 2-3 N on the reduced fragment shows no mobility in almost 98% (unpublished data) which biomechanically is attributed to the self-stabilizing friction between the rough and spiky fracture-ends and the three dimensional stabilization of the tripod (enhanced by the unfractured zygomatic arch) and quadripod. The same surgical procedure is also applicable to isolated impression-fractures of the zygomatic arch which stabilizes itself by the bridge-like convexity but can be loaded for stability-check only with 1 N maximum (unpublished data). No dislocations of the transcutaneous reduced fractures were observed by masseteric pull-forces neither in patient-group Z of this study nor in younger patients treated the same way.
Isolated blow-out-fractures of the orbital floor especially in elderly people rarely lead to subsidence of the corresponding eye-bulb. Mostly a high-stand of the bulb was diagnosed by the ophthalmologist owed to intraorbital emphysema and haematoma. The eye-bulb and eye-muscles are protected by the periorbital fat-tissue and even in case of a prolapse of a small part of the periorbital fat-tissue no entrapment of the caudal muscels occurs in almost all cases. Furthermore a clear distinction between haematoma and periorbital fat-tissue cannot be made in most CAT-scan-investigations and mostly the bulb and periorbital tissue are statical and functional stabilized by the intact surrounding orbital floor (Figure 8). Contrary, a surgical reduction of the fractured orbital floor seems to lead to a significant prolonged diplopia compared to the patient-group without surgical intervention as the results of this study suggest (Table 8).
-
Figure 8:
CAT-scan series from frontal to dorsal through an isolated fracture of the orbital floor. Haematoma cannot be distinguished from periorbital fat-tissue and unity of bulb, muscels and periorbital tissue are stabilized by anterior, posterior, central and lateral intact parts of the orbital floor. No diplopia was diagnosed in this case and no restriction in eye-movement.
Regarding cosmetic indications for zygoma-fracture reduction no valid data could be obtained from the subjective patients point of view due to enormous variances in the mental state of patients in all three groups under investigation. Although no valid photo-documentation could be obtained from patients time-close pre-injury facial symmetry, objectively no significant cosmetic deficiencies could be observed both for group X and Y compared to group Z owed to the appearance of aging faces of the European WWII- and post WWII-generation which might be attributed to a compensation by the soft tissues of the corresponding cheek.
Conclusions
The overall results of the presented study suggest that both minimal invasive transcutaneous and open reduction of zygoma-tripod, -quadripod, -arch and orbital floor fractures in the elderly patient have to be decided extremely carefully and should be performed only in cases of vastly fragmented and dislocated fractures and/or when other skeletal fractures need open reduction and osteosynthesis. A prior consilium with an internist and anaesthesiologist to weigh the general risks of an anaesthesia for the planned surgery should be considered mandatory and in doubt the professional opinion of the internist and/or anaesthesist should prevail. Closed or open fracture-reduction for only cosmetic indications should be performed only based on the explicit wish of the elderly patient after signing a claim-statement consent. Mostly - from the patients point of view - the best results can be obtained by the Cranio-Maxillofacial surgeon when not performing surgery in patients aged 70 years or more both for timely functional restitution, pain duration and surgery-related morbidity.
- Covington DS, Wainwright DJ, Teichgraeber JF, Parks DH (1994) Changing patterns in the epidemiology and treatment of zygoma fractures: 10-year review. J Trauma 37: 243-248.
- Scherer M, Sullivan WG, Smith Jr DJ, Phillips LG, Robson MC (1989) An analysis of 1,423 facial fractures in 788 patients at an urban trauma center. J Trauma 29: 388-390.
- Gomes PP, Passeri LA, de Albergaria Barbosa JR (2006) A 5-year retrospective study of zygomatico-orbital complex and zygomatic arch fractures in Sao Paulo State, Brazil. J Oral Maxillofac Surg 64: 63-67.
- Gassner R, Tuli T, Hächl O, Rudisch A, Ulmer H (2003) Cranio-maxillofacial trauma: a 10 year review of 9543 cases with 21067 injuries. J Craniomaxillofac Surg 31: 51-61.
- Shankar AN, Shankar VN, Hegde N, Prasad R (2012) The pattern of the maxillofacial fractures-a multicentre retrospective study. J Craniomaxillofac Surg 40: 675-679.
- Iida S, Hassfeld S, Reuther T, Schweigert HG, Haag C, et al. (2003) Maxillofacial fractures resulting from falls. J Craniomaxillofac Surg 31: 278-283.
- Wade CV, Hoffman GR, Brennan PA (2004) Falls in elderly people that result in facial injuries. Br J Oral Maxillofac Surg 42: 138-141.
- Yamamoto K, Matsusue Y, Murakami K, Horita S, Sugiura T et al. (2011) Maxillofacial fractures in older patients. J Oral Maxillofac Surg 69: 2204-2210.
- Gandhi S, Ranganathan LK, Solanki M, Mathew GC, Singh I, et al. (2011) Pattern of maxillofacial fractures at a tertiary hospital in northern India: a 4‐year retrospective study of 718 patients. Dent Traumatol 27: 257-262.
- Roccia F, Bianchi F, Zavattero E, Tanteri G, Ramieri G (2010) Characteristics of maxillofacial trauma in females: a retrospective analysis of 367 patients. J Craniomaxillofac Surg 38: 314-319.
- Velayutham L, Sivanandarajasingam A, O'Meara C, Hyam D (2013) Elderly patients with maxillofacial trauma: the effect of an ageing population on a maxillofacial unit's workload. Br J Oral Maxillofac Surg 51: 128-132.
- Rahman NA, Ramli R, Rahman RA, Hussaini HM, Hamid ALA (2010) Facial trauma in geriatric patients in a selected Malaysian hospital. Geriatr Gerontol Int 10: 64-69.
- Arangio P, Leonardi A, Torre U, Bianca C, Cascone P (2012) Management of facial trauma in patients older than 75 years. J Craniofac Surg 23: 1690-1692.
- Chen CW, Lin CC, Chen KB, Kuo YC, Li CY, et al. (2014) Increased risk of dementia in people with previous exposure to general anesthesia: A nationwide population-based case-control study. Alzheimers Dement 10: 196-204.
- Inouye SK, Westendorp RG, Saczynski JS (2014) Delirium in elderly people. Lancet 383: 911-922.
- Chen PL, Yang CW, Tseng YK, Sun WZ, Wang JL, et al. (2014) Risk of dementia after anaesthesia and surgery. Br J Psychiatry 204: 188-193.
- Udagawa A, Sato S, Hasuike A, Kishida M, Arai Y, et al. (2013) Micro‐CT observation of angiogenesis in bone regeneration. Clin Oral Implants Res 24: 787-792.
- Adam AADM, Zhi L, Zu Bing L, Xing WZ (2012) Evaluation of treatment of zygomatic bone and zygomatic arch fractures: a retrospective study of 10 years. J Maxillofac Oral Surg 11: 171-176.
- Kelley P, Hopper R, Gruss J (2007) Evaluation and treatment of zygomatic fractures. Plast Reconstr Surg 120: 5S-15S.
- Tadj A, Kimble FW (2003) Fractured zygomas. ANZ J Surg 73: 49-54.
- Ozçelik D, Turan T, Kabukcuoglu F, Ugurlu K, Öztürk O, et al. (2003) Bone induction capacity of the periosteum and neonatal dura in the setting of the rat zygomatic arch fracture model. Arch Facial Plast Surg 5: 301-308.





Figure 1:
11-point numerical pain rating scale enhanced by the Wong-Baker FACES pain rating scale.
Figure 1: 11-point numerical pain rating scale enhanced by the Wong-Baker FACES pain rating scale.