Cite this as
Hajj Moussa WE, Aoude E, Azar L, Sfeir E, Chelala E (2018) Solid Cystic Pseudo Papillary Tumor of the Pancreas (Gruber - Frantz): A Case Report and a Review of the Literature. Ann Pancreat Disord Treatm 2(1): 007-010. DOI: 10.17352/apdt.000006Background: Solid cystic pseudopapillary tumor of the pancreas (SCPTP), commonly known as Gruber-Frantz’s tumor is a rare form of pancreatic tumors commonly misdiagnosed as pancreatic pseudocysts. It mainly affects middle-aged women, with an excellent prognosis. Different techniques are used to diagnose this type of tumor, while surgery remains the mainstay of the treatment.
Purpose: Our aim is to increase awareness of such pancreatic tumors in young females, by highlighting surgical resection as the treatment of choice, and its possibility of recurrence which necessitates further guidelines for follow-up.
Case presentation: A 50-year old woman presented with vague abdominal pain and bloating for 1 month. An abdominal CT-scan depicted a hypo dense 5 cm mass in the tail of the pancreas enhancing solid content and some calcifications. A total body and selective hepatic MRI confirmed the findings. Only serum cancer antigen (CA19-9) was elevated at 41ng/dl. A tentative CT-guided trans-gastric fine needle aspiration (FNA) of the pancreas revealed no pancreatic tissue. The patient underwent an extended curative R0 distal splenopancreatectomy. The pathology revealed a completely resected well-differentiated endocrine tumor without lymph node involvement. An immunohistochemistry study was positive for CD-56, Vimentine, CD10, and Ki-67 antigen with low mitotic index (0-1%). Post-operative course was uneventful and patient was discharged at day 6 post-op.
Discussion: SCPTP is a rare entity, currently reported in literature as a low malignant potential tumor, affecting mainly middle-aged women. Body and tail are most commonly affected. CT-scan or MRI are used to diagnose and classify SCPTP, however, incisional biopsy often provides the correct diagnosis. Surgery remains the definitive best curative treatment of SCPTP regardless of the size of the tumor, and prognosis is excellent following resection. Recurrence rate has been reported up to 8.3%, potentiating routine imaging control. Current and future studies aim to investigate metabolic and genetic characteristics of this type of tumor.
SCPTP: Solid Cystic Pseudopapillary Tumor of the Pancreas; MRI: Magnetic Resonnance Imaging; FNB: Fine-Needle Biopsy; FNA: Fine-Needle Aspiration; SPN: Solid Pseudopapillary Neoplasm
SCPTP is commonly known as Gruber-Frantz’s Tumor. It is a rare form of pancreatic neoplasm, commonly misdiagnosed, accounting for less than 2.5% of all pancreatic tumors [1]. In 2010, SPTP was classified by the WHO as an epithelial low-grade malignant neoplasm [2].
Clinical presentation, physical exam, and laboratory tests are all unremarkable and non-specific. CT-scan, magnetic resonance imaging (MRI), and fine-needle biopsy (FNB) are all used to diagnose this type of tumor, showing both cystic and solid components of the mass, and to differentiate it from other pancreatic masses, especially pseudo cysts. SCPTP are usually limited to the pancreas, however in around 10% of cases, the tumor will have already metastasized at the time of presentation [3-6].
The pathogenesis of SCPTP remains uncertain, and studies have suggested that the mutation of ß-catenin is the major factor in the process [7,8]. Immunohistochemistry is used to differentiate these tumors from other pancreatic neoplasms.
Surgery remains the definitive treatment, and it is curative in most of cases. Prognosis is excellent, even in the presence of metastases, with a low recurrence rate. The latter is associated with large tumors and metastases at the time of diagnosis [9-12].
The aim of this case report is to raise awareness of such pancreatic tumors in young female patients presenting vague abdominal pain, by highlighting the characteristics of SCPTP, its surgical resection as the treatment of choice, and its possibility of recurrence, which necessitates further guidelines for follow-up.
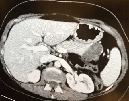
A 50-year old woman presented to the hospital with a chief complaint of vague abdominal pain and bloating. Her medical history was remarkable for open cholecystectomy. She had intermittent episodes of constipation and bloating for the last month treated with over-the-counter medications. Her physical exam was unremarkable except for diffuse pain on deep abdominal palpation, without tenderness or rebound. Conventional blood tests on admission were unremarkable as well. An abdominal CT-scan depicted a hypo dense 5 cm mass at the tail of the pancreas enhancing solid content and some calcifications, in contact with the splenic vein, as well as a hepatic nodule in segment VII (Figure 1).
The tumor was non-secretory without any associated symptoms of diarrhea or flushing, therefore no related further investigations were needed. A total body and selective hepatic MRI were performed, showing a mass syndrome at the tail of the pancreas of 4.5 cm, without suspicious hepatic nodule. Only serum cancer antigen (CA 19-9) was elevated at 41 ng/dl. A tentative CT-guided trans-gastric access fine needle aspiration (FNA) of the pancreas revealed no pancreatic tissue. Hence, the patient was diagnosed with indeterminate pseudo cystic neoplasm of the pancreas, and underwent an extended curative R0 distal Splenopancreatectomy. The pathology revealed a completely resected well-differentiated endocrine tumor without lymph node involvement. An immunohistochemistry (IHC) study was positive for CD-56, vimentine, CD-10, as well as for ki-67 antigen with low mitotic index (0-1%), thus, in favor of Grüber-Frantz tumor. Synaptophysin and anti-chromogranin were negative. Post-operative course was uneventful, and the patient was discharged at day 6 post-op. An abdominal MRI was recommended at 6-month follow-up.
SCPTP also called Solid and Cystic Tumor, or Solid and Papillary Epithelial Neoplasm of the Pancreas, was first described by Frantz in 1959. It is a rare form of pancreatic neoplasm, accounting for 1-2.5% of all pancreatic tumors, of unknown etiology and pathogenesis. Many suggest that SCPTP originate from ductal epithelium, acinar cells, endocrine cells, or pluripotent embryogenic cells of the pancreas [13]. It is a low-grade malignant type of neoplasm, mostly affecting middle-aged women in their second and third decade of life, with a predilection for Asian and African-American women, although some cases of affected men and children are reported in the literature [14]. Kosmahl et al. Attributed female predominance to the proximity of primordial pancreatic cells to the ovarian ridge during embryogenesis [15].
Clinical presentation is usually nonspecific, and vague abdominal discomfort or pain being the most common symptom. Other symptoms include poor appetite, nausea, palpable abdominal mass, all related to the enlarging volume of the mass and compression of adjacent structures resulting in rare reported cases of acute abdomen caused by tumor rupture [4,5, 16]. In general, there is no specific syndrome for SCPTP, and lab tests, including liver functions tests and pancreatic enzymes, are negative [17] (Figure 2).
Differential diagnosis includes pancreatic adenocarcinoma, microcystic adenoma, mucinous cystic neoplasm, islet cell tumor, and most importantly calcified pseudocyst [3,5,18]. Radiological exams are essential in diagnosing SCPTPs, as well as in differentiating them from other pancreatic lesions. Ultrasonography (US) and CT-scan show a well-demarcated encapsulated mass, with varying cystic and solid components. MRI can be diagnostic as well, typically showing a well-demarcated lesion with areas of high signal intensity on T1-weighted images, reflecting areas of hemorrhagic content, and a capsule as a thin hypo-intense rim. These features cannot be shown while using CT-scan [3-5] Others consider MRI the most effective imaging for diagnosing SCPTP, emphasizing the importance of the tumor size. Large tumors (>3 cm) usually display typical imaging characteristics of solid pseudopapillary neoplasm (SPN), whereas small tumors (<3cm) are often atypical for SPNs [16]. Endoscopic ultrasound-guided fine-needle biopsy provides a preoperative cytological diagnosis. It can help identify solid and pseudo-papillary patterns on HE stains, and the specimen is usually highly cellular with epitheloid cells arranged singly or in aggregates [5,14].
The pathogenesis remains uncertain; it has been suggested that it is associated with a mutation of ß-catenin, resulting in diffuse cytoplasmic and aberrant nuclear expression of ß-catenin, with lack of membranous E-Cadherin [7,8]. Immunohistochemical studies reveal that the majority of SCPTP exhibit consistently positive staining for vimentin, CD56, CD10, and neuron-specific enolase, while occasionally expressing other neuroendocrine markers focally such as cytokeratin, synaptophysin, S-100 protein, except for Chromogranin A [19,20]. Immunoreactivity for ß-catenin is found in the cytoplasm and the nuclei of most SCPTs of the pancreas, while clusters of cells at the periphery of the tumors are reactive to polypeptide hormones, including insulin, glucagon and somatostatine [6,21].
In most patients, SCPT is limited to the pancreas, whereas in 10-15% of patients, the tumor has already metastasized at the time of presentation. Most common sites of metastasis are liver, regional lymph nodes, peritoneum, mesentery, and omentum [3,5,6].
Complete surgical resection is the treatment of choice for all tumors, even in the presence of metastases [9,12]. The majority of SCPTPs are in the body or tail [13], hence distal pancreatectomy with or without splenectomy are recommended, however Whipple procedure and pylorus-preserving pancreatoduodenectomy can be performed, depending on the localization of the tumor. Extensive lymphatic dissection is not indicated when disease is localized. If there is evidence of invasion, portal vein resection is indicated. Unlike other pancreatic malignancies, metastases are treated with surgical debulking. Some authors suggest radiotherapy for unresectable SCPTP, as these tumors are radiosensitive [6,22].
SCPTP generally has an excellent prognosis, even in the presence of distant metastasis, when radical excision is performed, with an overall 5-year survival rate around 95% [6]. Tumor recurrence has been found in approximately 5-7% of patients after surgical resection, while most of recurrences occurring more than 5 years after resection [12]. Risk factors for tumor recurrence include large tumors (diameter > 5cm), metastasis at first presentation, tumor rupture, adjacent lymphovascular or organ invasion, and positive margins at first resection [12,13].
In conclusion, SCPTP is a rare but treatable entity. SCPTP should be suspected in middle-aged women with a bulky pancreatic tumor. R0 surgical curative resection offers the best chance for cure and should be considered the treatment of choice of SCPTP, regardless of the size and the area involved. Prognosis is excellent, if early diagnosed even in the presence of metastasis, and recurrence rate is low. We recommend close follow-up for these patients, to recognize and early diagnose a local recurrence or a distant metastasis.
We would like to thank the referring doctor of the patient, Dr. B.Assaker, for his trust, as well as Dr. F.Nasr oncologist with their corresponding USEK team, for their cooperation and role in providing the best management options for the patient.
Subscribe to our articles alerts and stay tuned.
This work is licensed under a Creative Commons Attribution 4.0 International License.

PTZ: We're glad you're here. Please click "create a new query" if you are a new visitor to our website and need further information from us.
If you are already a member of our network and need to keep track of any developments regarding a question you have already submitted, click "take me to my Query."