Cite this as
Pérez-Guiot A, Álvarez-Castro AD, Hernández-Castro R, Martínez-Chavarría LC (2023) Syphilis due to Treponema paraluisleporidarum ecovar Cuniculus (TPeC) in a domestic rabbit (Oryctolagus cuniculus) in Mexico. Glob J Zool 8(1): 003-005. DOI: 10.17352/gjz.000026Copyright
© 2023 Pérez-Guiot A, et al. This is an open-access article distributed under the terms of the Creative Commons Attribution License, which permits unrestricted use, distribution, and reproduction in any medium, provided the original author and source are credited.Rabbit syphilis is caused by Treponema paraluisleporidarum and causes several cutaneous lesions. The prevalence in Mexico is not determined and there are currently no reports in pet rabbits associated with this disease. This case report describes the first case of rabbit syphilis in Mexico, confirmed by PCR and sequencing.
Rabbits syphilis (also called ventilation disease, venereal spirochetosis, or treponematosis) is a disease caused by Treponema paraluisleporidarum ecovar Cuniculus, one of the spirochetes considered nonculturable, which does not infect humans [1,2]. These are helical Gram-negative bacteria, filamentous, and microaerophilic, ranging between 0.1 and 0.7 µm in diameter and with a conical termination [3]. This bacteria was identified in 1913, 8 years after Treponema pallidum subsp. pallidum was discovered as the causal agent of syphilis in humans [4,5]. Its genome and chromosome sequence are related to other pathogenic species and subspecies of the genus Treponema, including T. pallidum subsp. pallidum and T. pallidum subsp. pertenue in humans [1,6]. T. paraluisleporidarum, formerly called T. paraluiscuniculi, is morphologically indistinguishable from other pathogenic treponemas, but they generate similar immune responses and histological changes [5,7,8].
The disease is transmitted horizontally through direct or sexual contact. Transmission through extragenital and vertical contact during birth and lactation is also possible but rare [2]. Characteristic lesions in natural infections in rabbits include erythema, papules, ulcers and crusts in the perianal region, genitals, nose, mouth, and eyelids that are of high diagnostic value [9]; it has been associated with abortions, metritis and infertility [2,10,11]. Sneezing is the reported clinical sign associated with nasal lesions [11].
Domestic rabbit (Oryctolagus cuniculus), male, 6-year-old, located in Mexico City. Two months of evolution crust in the periphery of the right nostril was reported. On the mucocutaneous junction of the right nostril, a 2 cm long crust was observed. When it was removed, it had an ulcerative lesion with little serous secretion. A skin scraping was performed without microscopic evidence of ectoparasites. Topic treatment consisted of chlorhexidine, silver sulfadiazine, and imidacloprid. Two months later, the lesion spread to the periphery of both nostrils (Figure 1A). Cytology was performed, in which nonspecific heterophilic inflammatory alteration was observed. Oral enrofloxacin (5 mg/kg twice daily for 15 days) and meloxicam (0.3 mg/kg once daily for 5 days) were prescribed, with slight improvement. Fifteen days later, lesions were observed also in the perianal, genital, and upper right eyelid areas (Figure 1B,C). An incisional biopsy of the lesion in the nose was performed with a 6-mm punch and was sent for histopathological examination.
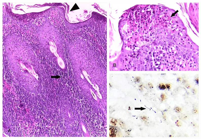
The histopathological analysis revealed heterophilic and lymphoplasmacytic dermatitis and folliculitis with acanthosis, hyperkeratosis, and subcorneal pustule formation (Figure 2A,B). These lesions were suggestive of Treponema spp. infection; therefore, a Warthin Starry stain was performed, showing few argyrophilic spirochetes in the epidermis and superficial dermis (Figure 2C).
We then extracted total DNA from skin biopsies, using the DNeasy blood & tissue kit (QIAGEN, Ventura CA, USA), according to the manufacturer’s instructions. We performed PCR using two previously reported universal primer pairs (27F 5´- AGAGTTTGATCMTGGCTCAG-3´ and 1492R 5´- TACGGYTACCTTGTTACGACTT-3´) targeting the bacterial 16S rRNA gene [12]. The cycling program consisted of 1 cycle of 95 °C for 5 min, 35 cycles of denaturing (95 °C, 45 s), annealing (55 °C, 1 min), and extension (72 °C, 1 min 30 s), followed by a final extension at 72 °C for 10 min. The PCR fragment was subjected to electrophoresis in a 1% agarose gel stained with Sybr Safe (Thermo Fisher) and subsequently visualized with ultraviolet light in a UVP UVsolo transilluminator (Analytik Jena, Thuringia, Germany). We amplified a ~1,500-bp fragment that was purified using a QIAquick Gel Extraction Kit (Qiagen, Ventura CA, USA) according to the manufacturer’s instructions and sequenced in both directions. The sequence was submitted to a BLAST search of all available databases at the National Center for Biotechnology Information (https://www.ncbi.nlm.nih.gov) and showed 99.6% homology of Treponema paraluiscuniculi strain Cuniculi (currently named T. paraluisleporidarum). We submitted this sequence to GenBank under accession number ON025089.
These results confirmed the presence of Treponema paraluisleporidarum ecovar Cuniculus in the skin of this rabbit.
Treatment with procaine penicillin G was implemented at 40,000 IU/kg once daily. On day 3 of treatment, the lesions on the nose, perineum, and eyelid gradually began to disappear. On day 7 after treatment, complete remission of the lesions was observed (Figures 3A-C).
The prevalence of Treponema paraluisleporidarum ecovar Cuniculus (TPeC) in Mexico is not determined and there are currently no reports in pet rabbits associated with this disease. This is the first report of syphilis confirmed in a domestic rabbit in Mexico. The lesions’ gross appearance and distribution (genitalia, nose, lips and eyelids) may be similar to those reported in other diseases, such as dermatophytosis, trauma, myxomatosis, and acariasis; this is why the use of complementary tests is useful for diagnosis [10].
Venereal spread is the most important route of transmission, but it can also be transmitted through extragenital direct contact, via contact with infected skin, and from contact between young rabbits and infected dams [2,13]. In the case reported here, there is no evidence of direct contact with other rabbits, but the cage inhabited by the rabbit came from a rabbit farm, which could suggest indirect contact with the pathogen. On the other hand, asymptomatic carriers occur, with recrudescence when under stress; it has been reported that bucks are often asymptomatic carriers and can spread disease to multiple does [13]. This could also be the case for this rabbit.
Diagnosis is based on serological studies, microhemagglutination, and fluorescent treponemal antibody absorption tests [14,15]. Darkfield microscopic examination as well as histopathology with silver stains can aid in the detection of the bacteria. Molecular tests, such as PCR, have been used for treponema-type characterization [2,15,16]. For this study, histopathology and silver staining were used to guide the diagnosis and confirmed with PCR and sequencing.
Treatment of rabbit syphilis requires the administration of antibiotics, such as penicillin G, chloramphenicol, and fluoroquinolones [2,10,17]. The administration of penicillin G, in this case, was effective after 7 days of treatment. It is reported that penicillin G should be administered at least twice daily for 7 days since plasma levels of penicillin G decrease rapidly (12 h after intramuscular administration) [17].
The authors thank Alfredo A. Díaz Estrada and Karen J. Guitareo Quintana for their technical assistance in histopathology and Jaime Cordova López for imaging technical support.
Subscribe to our articles alerts and stay tuned.
This work is licensed under a Creative Commons Attribution 4.0 International License.

PTZ: We're glad you're here. Please click "create a new query" if you are a new visitor to our website and need further information from us.
If you are already a member of our network and need to keep track of any developments regarding a question you have already submitted, click "take me to my Query."