Cite this as
Feng D, Liu Z, Chen H (2022) New therapy option: Maisonneuve fracture without transsyndesmotic fixation. Int J Spine Res 4(1): 009-012. DOI: 10.17352/ijsr.000022Copyright License
© 2022 Feng D, et al. This is an open-access article distributed under the terms of the Creative Commons Attribution License, which permits unrestricted use, distribution, and reproduction in any medium, provided the original author and source are credited.Ankle fracture is one of the common injuries in the orthopedic department, the Maisonneuve fracture is a specific type of ankle injury. This fracture is usually caused by rotational force. According to the Lauge -Hansen classification, it is a pronation and external rotation type injury, often resulting in inferior tibiofibular injury. Because it is extremely unstable, it is usually treated surgically.
Operative treatment includes medial malleolus fixation, reduction of the inferior tibiofibular joint and screw fixation. When the fibula fractured is without shortening or dislocation, it is still controversial if the inferior tibiofibular joint needs fixation. This study aims to introduce a new method-Maisonneuve without transsyndesmotic fixation and analysis the follow-up result.
Ankle fracture is one of the common injuries in the orthopedic department. The Maisonneuve fracture was first reported by the French doctor Maisonneuve in 1840 [1-3]. It’s a specific type of ankle injury. It includes injury of the medial structure (medial malleolus fracture or deltoid ligament tear), inferior tibiofibular syndesmosis injury, and proximal 1/3 fracture of the fibula. Associated with the posterior tibiofibular ligament or fractures of the posterior malleolus injures sometimes.
This fracture is usually caused by rotational force. According to the Lauge - Hansen classification, it is a pronation and external rotation type injury, often resulting in inferior tibiofibular injury. Because it is extremely unstable, it is usually treated surgically.
Operative treatment includes medial malleolus fixation, reduction of the inferior tibiofibular joint, and screw fixation [4-6]. When the fibula fractured is without shortening or dislocation, it is still controversial if the inferior tibiofibular joint needs fixation. The aim of this study is to introduce a new method-Maisonneuve without transsyndesmotic fixation and analysis the follow-up result.
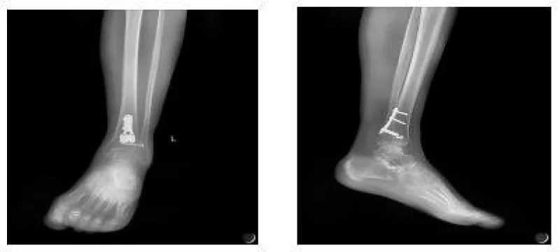
A 56-year-old woman was sent to the emergency department by her family. She sprained her left ankle when she went down the stairs. She had difficulty walking because of a painful left ankle. Specialized physical examination found tenderness in the anterolateral distal tibia and fibular neck. X-ray showed fractures in the tibia lateral border and fibular neck, with no evidence of inferior tibiofibular joint dislocation (Figures 1,2). A computed tomography scan confirmed the presence of Tillaux-Chaput and Volkmann fractures (Figures 3-5).
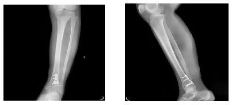
The anesthetic for the operation was lumbar anesthesia. A posterolateral approach was used to expose the Volkmann fracture. An anterior tibial approach was used to expose the Tillaux-Chaput fracture. The inferior tibiofibular joint was checked carefully. Fractures were reduced and then fixed. Volkmann fracture was fixed by buttress plate, and Tillaux-Chaput fracture was performed by hollow screw. Hook test intraoperative was negative. Anatomical reduction and perfect stability were confirmed by X and CT postoperatively (Figures 6.7). CT scan in the transverse section confirmed that the anterior and posterior edge of the distal fibula is in an arc with the fractures of the tibia. It meant there was no dislocation of the distal fibula. The anterior and posterior ligaments of the inferior tibiofibular ligament are in good condition.
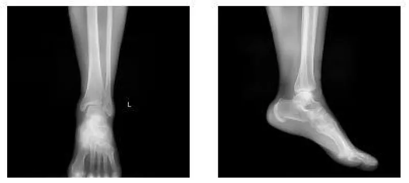
Three weeks after surgery, the patient is required to touch down weight-bearing in a plaster splint. Patients are then allowed partial weight-bearing after six weeks and progress to weight-bearing. Ankle joint function exercises can be done three weeks after surgery. X noted that the fracture healed without shortening or rotation of the fibula when twelve weeks after surgery (Figure 8). The AOFAS score is 92 at twelve weeks follow-up [7,8].
Fracture of the fibula in approximately one-third is an important feature of Maisonneuve fracture [2]. The damage mechanism of Maisonneuve fracture is the 3 or 4 stages of PER(pronation–external rotation) injury following Lauge–Hansen classification [9-11]. The first is medial malleolus fracture or deltoid ligament rupture, even the inside of the structure is complete [12]. The second is the rupture of the AITFL(anterior inferior tibiofibular ligament) or avulsion fracture of the AITFL attachment point, the rupture of the IOL(interosseous ligament)and IOM(interosseous membrane), and the third is a fracture of the proximal fibula sometimes even without proximal fibula fractures [13]. If the rotational force doesn’t end, it’s the fourth stage. It is the rupture of the PITFL(posterior inferior tibiofibular ligament) or the avulsion fracture of the PITFL.
It is well known that the mainstream treatment option is the fixation of medial malleolus fracture, reduction of the inferior tibiofibular joint, and screw fixation [14,15]. Some scholars have also reported the efficacy of suture-button devices in the treatment of Maisonneuve fracture [16,17]. There are some defects in screw fixation or suture-button devices. The inferior tibiofibular screw was surgically removed. Treatment costs are more. How to control the pressure and reduction on the tibiofibular joint. Thordarson et.al confirmed contact pressures on inferior tibiofibular malreduction resulting in poorer joint function [18]. In addition, there is a risk of screw breakage in screw fixation [19]. The efficacy of suture-button devices is proven [17]. But previous research by Coetzee et.al suggested that suture-button devices do not guarantee axial stability of the fibula, they recommended plate and screw fixation for Maisonneuve fracture [20]. Klitzman, et al. summarized that the mobility of the suture button may promote physiological healing of the inferior tibiofibular ligament [21]. Fraissler L, et al. summarized a study that ankle arthroscopy can guide the reduction of the tibiofibular joint and check the location and direction of screws to reduce errors, patients can get a better prognosis [22].
When the fibular fracture is in normal length/rotation, inferior tibiofibular joint fixation or suture-button devices is still controversial.
Four factors of ankle stability are medial malleolus, deltoid ligament(mostly deep layer ), lateral malleolus, and inferior tibiofibular ligament. We image the theory-the stability of the ankle joint as a ring. When three-quarters of the ring is stable structurally, the ankle is stable. So it is with Maisonneuve’s injury as well. In this type, no fracture with medial malleolus, the deltoid ligament is damaged, the fibularis in normal length, but exists rotation due to Tillaux-Chaputand Volkmann fracture. According to the ring theory, Volkmann fracture fixation was performed by buttress plate, and Tillaux-Chaput was by hollow screw. Hook test intraoperative was negative. A short leg cast protects the ankle for 6 weeks. According to follow-up, the treatment was effective.
According to the theory of PER injury, the fourth stage is the rupture of the PITFL(posterior inferior tibiofibular ligament) or the avulsion fracture of the PITFL. Bone and ligament strength varies in different populations. Avulsion fractures of the anterior and posterior inferior tibiofibular ligaments are more common because the epiphyseal is not closed and the ligaments are strong in children. The rupture of the anterior and posterior inferior tibiofibular ligament is more common and avulsion fractures at the ligament attachment point are rare because the bone is stronger than the ligament in young and middle-aged people. Avulsion fractures at the ligamentous attachment point are more common because of osteoporosis in the elderly. Volkmann fracture occurs instead of the rupture of the posterior inferior tibiofibular ligament in this type. We consider the mechanism is pronation–external rotation with ankle plantar flexion. Ankle plantarflexion causes Volkmann fracture, not avulsion fracture. This is similar to an ankle fracture in a child, the posterior inferior tibiofibular ligament (PITFL) is well, but a posterior ankle epiphyseal fracture occurs. Similar Maisonneuve fractures may be more pronounced in children because ligaments are stronger than epiphyses.
When Maisonneuve fracture with these features-avulsion fractures of the attachment point on the inferior tibiofibular ligament, the inferior tibiofibular joint may not be fixed. When the fibula is not shortening and the avulsion fracture is firmly fixed, the inferior tibiofibular joint will be stable.
No transsyndesmotic fixation for Maisonneuve is not the mainstream treatment but is a new option for Maisonneuve fractures in some cases(children and elderly ). Postoperative follow-up confirmed that patients with similar Maisonneuve with the new technique can achieve good function and avoid the need for tibiofibular screw removal, thereby reducing surgical costs. There are still a few defects -only 14 patients.
Subscribe to our articles alerts and stay tuned.
This work is licensed under a Creative Commons Attribution 4.0 International License.

PTZ: We're glad you're here. Please click "create a new query" if you are a new visitor to our website and need further information from us.
If you are already a member of our network and need to keep track of any developments regarding a question you have already submitted, click "take me to my Query."