Cite this as
Stefos S (2023) Musical instruments, oral problems and prosthodontics: A review and a clinical report of a musician menopausal woman. J Dent Probl Solut 10(2): 021-032. DOI: 10.17352/2394-8418.000124Copyright License
© 2023 Stefos S. This is an open-access article distributed under the terms of the Creative Commons Attribution License, which permits unrestricted use, distribution, and reproduction in any medium, provided the original author and source are credited.The condition of teeth and the function of the oral organs are important when playing musical, especially brass or wind, instruments. This article describes the prosthodontic treatment provided for a musician who had lost a tooth and her subsequent musical performance. The relevant literature is also discussed.
A 49-year-old professional clarinet player who fractured and avulsed the upper left central incisor during a fall sought maxillofacial rehabilitation for the missing tooth to maintain her ability to play the clarinet. Her treatment consisted of a provisional removable prosthesis with an acrylic base and clasps followed by a final fixed implant and conventional prostheses, designed accordingly. Her satisfaction with the prostheses was assessed by a self-reported questionnaire.
The dental treatment helps to ensure that the musicians with oral, mainly prosthodontic, problems can continue playing the wind or brass instrument, especially the clarinet at their previous performance level professionally.
As musical instruments become popular, dentists are treating an increasing number of musicians of all ages and abilities, some of whom will experience orofacial problems as a result of their chosen pleasure or career [1-4]. The treatment of orofacial problems may have adverse consequences for the vocalists and players of woodwind instruments, or some stringed instruments (violin and viola), as those are often chosen because of the pleasing sound and not the ease of play [1,2]. A mutual understanding between the dentist and the musician of how musical instruments are played [1,5], is necessary to provide an accurate diagnosis, appropriate dental treatment plan, and therapy for these specific orofacial problems according to the patient’s special needs [1]. To diagnose those problems related to musical instruments, musicians should be questioned about the duration and frequency of their musical sessions [1]. By observing and understanding how the instruments impact the orofacial structures, the dentist can gain a greater understanding of the patient’s radiographs and study models [1]. Classic musical instrument design does not always match the physical capacity of the musician [2]. The five groups of wind instruments (single-reed instruments, double-reed instruments, instruments with a small mouth aperture, brass instruments, and the bagpipes) and the two string instruments (violin and viola) have different playing positions, with unique influences on the orofacial structures [1].
Playing musical instruments has many beneficial effects other than pleasure. Apart from professional reasons, it can also enhance social communication and may prevent cognitive decline among older adults [3,4]. Furthermore, it has positive effects on depression and anxiety [4,6], and playing a wind instrument may improve respiratory and swallowing functions [4,7] which may prevent aspiration pneumonia [4].
It is easy to understand that musicians are not typically viewed as having a dangerous profession [8-10]. Recently, orofacial issues concerning musicians are being paid more attention, especially to wind instrument players, as a consequence of their musical performance [10].
However, some of those players experience dental problems [4,11]. Teeth have an important role in playing woodwind, brass, and other instruments [11]. Recent reviews showed that musicians can experience occupational orofacial problems caused by stress and excessive practice [11,12], such as facial morphological changes, changes to tooth position [4,13,14], malposition to anterior tooth [4,15] and Temporomandibular Disorders (TMD) [1,4,10,15] due to their relation with the presence of dysfunction or pain in certain areas of the Cranio-Cervico-Mandibular Complex (CCMC). These TMDs can be developed, associated with muscle hyperactivity of certain elevator, masticatory muscles, and structures like the postural muscles of the cervical region, or even to an increase of the intra-articular pressure in the functioning of the Temporomandibular Joint (TMJ) throughout musical activity [10,16].
Health practitioners are often unaware or don’t realize how wind and string instrumentalists are exposed to many risk factors daily with high physical and psychological demands [8-10]. Dentists may address these issues [1,11]. Furthermore, malocclusion can affect wind instrumentalists’ performance and embouchure comfort [11,17]. It is important to value the complexity involved during embouchure that naturally occurs for an experienced music player but takes time for a clarinet student to reach perfection [10].
A case report demonstrated that a professional horn player’s playing was improved by dental correction [18]. Reports involve young musicians; however, older musicians may also benefit from dental treatment for age-related orofacial issues (e.g., missing teeth) interfering with their performance ability [1,11].
Commercially available devices create a more ergonomic structure and may not address the specific needs of a musician with a chronic condition [2]. Through basic splinting of the musical player with an injury, the physical stressors can be reduced, allowing the continuation of musical practice and performance. Appropriate design modifications require an understanding of anatomy, splint design technique, and the biomechanic principles of playing the instrument while modifying the instrument by protecting tonal flexibility, resonance, mechanical freedom, and sound quality [2].
A perspective, concerning the elementary and necessary prosthodontic treatment steps of a wind instrumentalist [10] and the use of matrixes or materials for musical splints, has not thoroughly been investigated in current literature, especially among menopausal female musicians.
The objective/purpose of this article is to review the current literature and to report a case of a traditional-clarinet musician, a 49-year-old menopausal woman, partially edentulous with an exaggerated vomiting reaction, who suffered chronic lip and teeth irritation and fatigue and pain of the jaw, as a result of playing her instrument. We focused on successful clinical management using a simple but effective technique of table salt for the exaggerated vomiting reaction [19-21], and proper fixed and removable prostheses design, in order to prevent these symptoms without disturbing the performance, the music quality, and her quality of life in general [4,22,23]. This was the motivation to search the scientific literature concerning how playing musical instruments in the specific population of menopausal women [22,23] affects the dental treatment plan, especially prosthodontic, and menopausal women’s quality of life.
A professional traditional-clarinet musician, a Caucasian 49-year-old menopausal woman, teacher for 20 years, and player for a national orchestra, was referred/presented by her general dental practitioner to our dental clinic/practice specialized in prosthodontics, for replacement of her missing teeth, in a “dental fear” state during her dental treatment. The musician would often play for up to 3 hours a day. She also reported discomfort when large items, such as a toothbrush or dental mirror were in her mouth because of her gag reflex. As a result, the patient made visits to the dentist to receive only conservative emergency dental treatment.
The patient’s main presenting complaint was difficulties in playing the clarinet following the accident, pain on the left side of her face, limited mouth opening, and a history of clicking. The problem is predominately on the left side and has been present for two months. She feels the problems are exacerbated while playing. The clinical examination of the clarinetist, following the Diagnostic Criteria for TMD (RDC/TMD), involved the evaluation of the mandibular cinematic assessed together with the opening, the protrusive, and lateral movements. Direct occlusal analysis was carried out. Concerning the extra-oral analysis, it was performed bilateral palpation of the masticatory muscles, and bilateral palpation of the TMJs during opening, closing, lateral, and protrusive movements, searching for the presence of tenderness, pain, and noises. Upon examination, the lateral range of movements was normal. The left masseter and lateral pterygoid were tender. The patient had a bilateral soft, consistent click in the early cycle upon opening. A left TMJ disc displacement and associated muscular spasm were diagnosed. An anterior repositioning splint (ARPS) was indicated as a suitable treatment and she received appointments for this treatment. After the ARPS therapy, it was decided to construct a stabilization splint to help her with the pain [10,24].
Because of her menopausal status and after having discussed the case with her gynecologist, who encouraged her to proceed and after a thorough consultation and because there were no contraindications concerning medication, X-rays, and prosthodontic procedures, she finally decided to address her esthetic and functional oral problems. The menopausal woman’s quality of life was poor due to difficulties in playing the musical instrument [22,23].
Her medical history was unremarkable and she did not receive medications, after being subjected to a routine evaluation program according to menopausal examinations [22,23,25].
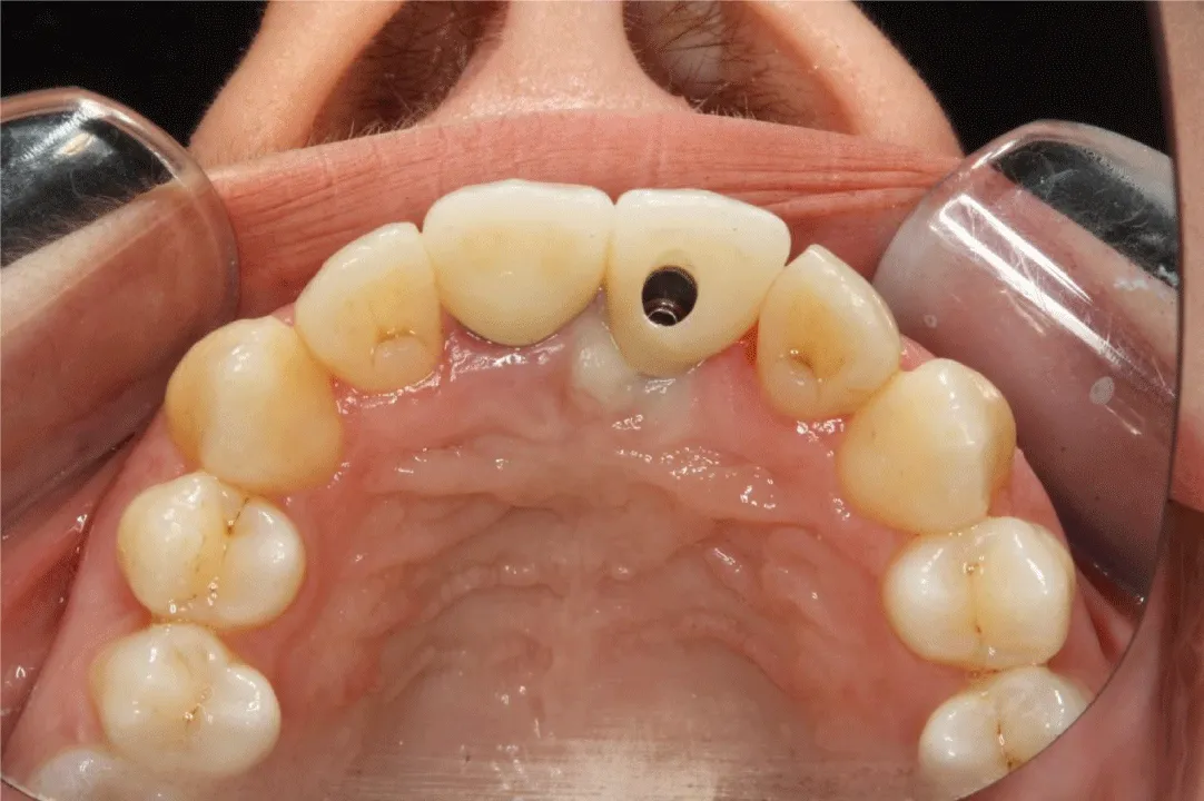
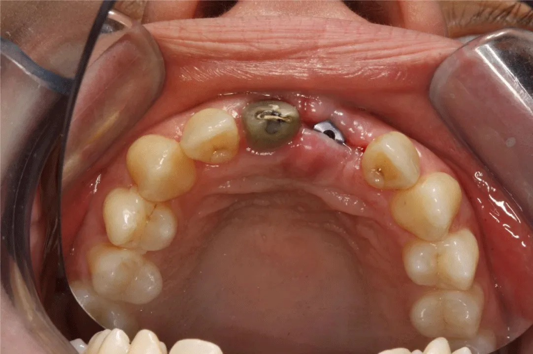
A dental clinical examination revealed good oral hygiene. After she had fallen at home, the upper left central incisor was missing (Figure 1) and the upper right incisor was abutment of an old metal-ceramic crown. The upper right central incisor was not sensitive to a cold stimulus. Options for definitive prosthetic rehabilitation were discussed with the periodontist and explained thoroughly to the patient, including removable prosthesis, fixed partial denture, or a fixed implant prosthesis. Because of her age and due to her esthetic problem, the classic, conservative prosthodontic treatment of an early insertion of a dental implant, a maxillary implant fixed crown/Fixed Partial Denture (FPD), and one conventional single crown/Fixed Partial Denture (FPD) were planned as a treatment to restore occlusion and esthetics.
Dental panoramic radiography and periapical X-rays were performed only when needed during the dental clinical stages by taking always all the protective measures. Initial periodontal therapy and CAMBRA (caries management by risk assessment) protocol were used [26].
At the start of the proposed definitive prosthodontic treatment, a detailed medical and dental history was recorded, and a detailed discussion was made concerning playing the musical instrument. Trigger zones were identified with the help of a ball burnisher. An immediate gag reflex was provoked as the mirror or fingers touched the tongue. The use of table salt as an immediate behavioral management technique was advocated to improve patient’s tolerance during appointments and impression-taking [19-21,23]. The patient was instructed to extend her tongue and apply salt to the tip of her tongue for approximately 5 seconds.
Impression trays were carefully and gently inserted, and contact with trigger zones was avoided. Jaw registration and preliminary diagnostic impressions were performed in order to construct, with the resulting casts, the provisional restorations- using stock trays and fast-set irreversible hydrocolloid impression material in a thick mix to minimize time and posterior flow. The resulting diagnostic casts were fabricated using type III dental stone. Mouth preparation including tooth preparation and build-up, was performed. Custom trays were fabricated without a palatal coverage in order to minimize gag reflex using light-polymerized resin material. Polyvinyl Siloxane (PVS) impression material regular set (base and catalyst), and light-bodied consistency were used for the final impressions. The impression materials and techniques that are used in order to construct dental prostheses with passive fit are paramount [27]. Definitive casts were fabricated in type IV dental stone, and the FPDs metal frameworks were waxed, sprued, and cast in metal alloys on the dies.
The best option to save an avulsed tooth is an immediate re-implantation [28]. However, this was not possible for this musician. An appropriate emergency treatment was provided. Early insertion of an implant fixture was selected because of the need to prevent excessive bone resorption and deformation of the alveolar ridge. A removable prosthesis was used for a provisional restoration, consisting of two artificial teeth, an acrylic base, and two wire clasps on both intact second premolars. This acrylic provisional superstructure was inserted, tried, and adjusted in the clinic, considering tonguing or embouchure (Figure 2). A cantilever restoration was considered ineffective due to the condition of the neighboring teeth and the risk of extensive forces on the restoration while playing the clarinet. The patient was advised to start with easy practice and playing and she made an early return to music even with the provisional removable prosthesis. When it was tried, the acrylic base on the palate was reduced according to performance and patient preference.
Two weeks later, a titanium dental implant (Brånemark System Mk III RP 3.75×18mm, Nobel Biocare, Gothenburg, Sweden) was placed in the position of the missing left central incisor (Figure 3). The implant achieved bicortical anchorage with adequate primary stability.
Final superstructures were then created (Figure 4). Try-in of the maxillary right central incisor’s all-ceramic crown and the metal framework of the left central incisor’s implant screw-retained metal-ceramic crown (FPD) was performed, in order to be sure about their passive fit and the occlusal alignment, and esthetics were verified prior to crown processing, by using table salt to minimize gag-reflex. An occlusal registration was performed using PVS material. The patient again played the instrument in the clinic to confirm the contour, before the final prostheses were screwed and cemented, accordingly (Figure 5).
The all-ceramic crown was fitted and cemented with a dual-cure resin cement and the implant metal-ceramic crown was screwed. Try-in was performed, and occlusion and esthetics were verified. The crowns were fitted, cemented, and screwed with a (final) torque of 25N/cm2, accordingly. The crowns’ design resulted in esthetics and comfort and the menopausal clarinetist was instructed in prostheses’ hygiene. A schedule of periodic maintenance appointments was set to re-evaluate patient compliance.
The final prostheses restored the defect well, allowing recovery of mastication, speech, and appearance. Furthermore, they were stable and strong enough to withstand the force of playing the clarinet. Like in Hattori, et al. [11], our musician perceived differences in stability among the prostheses, possibly because of the displacement of the provisional removable prosthesis caused by the pressure of the mouthpiece. The discomfort of this prosthesis could be explained by the acrylic base on the lingual side where tonguing is performed. Her overall satisfaction was primarily based on the mouthpiece fit and blowing comfort. Dentists should always aim for ongoing rehabilitation including adjusting the prostheses or seeking a further prosthetic treatment, performed with informed consent and caution.
A self-reported questionnaire was used to assess the woman’s sensation of the comfort and stability of the prostheses, blowing comfort, and overall satisfaction, before and after the trauma [4,11,22]. The following observations were made. Her adjustment to the provisional removable prosthesis had been easy and stable and final fixed prostheses fit well and had provided immediate relief from the discomfort of pressure against lip tissue. The patient was able to eat and speak well. There was no irritation or pain in the surrounding tissues and the esthetic outcome was excellent. The musician felt discomfort with the provisional removable prosthesis but this diminished when seating the fixed prostheses. The embouchure had felt awkward at first, but by the second practice session, she had compensated. She tested the prostheses for a week during which her playing and practicing habits remained the same. She had no difficulty in quickly becoming acclimated to the dental prostheses. The patient rated the final prostheses suitable for playing the clarinet and she continues to practice, teach, and perform music for longer periods of time (three or more hours a day) without irritation or discomfort (Figure 6).
For the fabrication of the splint the alginate impressions of both jaws and dental arches were taken, a registration bite was performed in maximum intercuspation and the constructed stone cast was mounted in a semi-adjustable articulator with the corresponding facial arch [10,29], which was sent to the dental laboratory for the formation of the acrylic splint. A dental fitting of the matrix followed, with trimmed, sanded, and polished peripheral margins [10,29]. The occlusal splint is for the upper jaw, with a rigid acrylic full coverage of the occlusal surface with a slight canine guidance. The patient was advised to wear it during the night while sleeping [10] and to keep the matrix in water when it was not in use and, to soak it in a denture rinse for purposes of hygiene. The device was stored in a plastic watertight container that easily fits into the instrument case [29]. An appointment was scheduled for calibration of the occlusal contacts after the first month [10].
A removable device, designed similarly to Krivin’s mandibular device [29], but to fit easily over the maxillary anterior teeth, technically simple to fabricate and worn while playing, proved immediately to be effective in eliminating lip irritation (pressure of the incisal edges of the teeth against the mucous membrane inside the upper lip) caused by single-reed wind instrument players. Its design and construction give it the additional advantage of being highly durable, for over one year [29]. The lateral area of the matrix extended between the distal aspects of the maxillary canines, wide enough to cover critical stress points and 0.3 mm thick at the incisal edges to provide adequate cushion at stress points [29].
Two types of sheet materials, soft type, and soft (inner) and hard (outer, 2-layer) hybrid type, as used for sports mouthguards, can also be selected for fabricating the music splints [4]. The music splint can be designed and manufactured on the dental cast by the thermoforming sheet pressure method with a pressure molding machine in the same manner as sports mouthguards (vacuum-formed) [4]. The music splint can cover the same 4 anterior teeth as the traditional thin-paper tab (Figure 7). Approximately 1 week after the impressions, a music splint can be provided. Four types of symptoms that possibly can occur while playing the wind instrument were evaluated: pressure and pain of the lower lip, pressure, and pain of the teeth, fatigue, and pain of the jaw, and fatigue and pain elsewhere [4,22].
The above-described case was the motivation to search the corresponding medical and dental scientific literature concerning prosthodontic therapy, either conservative, without, or with implants and dental prostheses, and how these may influence the final musical performance, especially concerning playing the single-reed musical instruments. A limited number of publications have been reported in the field of musical instruments and prosthodontics in academic literature. The most used keywords in the field of prosthodontics and music were ‘‘musical instruments’’ and “musical splints” according to a detailed keyword analysis.
A) Types of wind instruments (Single reed) and dental problems
I) Wind instruments
Playing a wind instrument is a complex neuromuscular task that requires increased orofacial muscle activity and ventilation. To play a wind instrument, an embouchure must be formed whereby the lips, teeth, and tongue are applied to the mouthpiece to act as both a seal and a funnel for the air. The relationship between embouchure, the palate, and the muscles of respiration, controls sound production, particularly in tone, quality, dynamics, and articulation. The different mouthpiece on each wind instrument requires a unique muscular pattern to form the embouchure. Some individuals have facial and dental features which facilitate the formation of an embouchure. Others have orofacial features that necessitate compensatory movements of the mandible and head and neck muscles that may create later problems. Ignoring the physical requirements of forming a correct embouchure in the selection of an instrument may limit a music player’s ability to play to his or her full potential [1].
Music players report a variety of orofacial problems, which interfere with their playing or cause general discomfort, some common to all players, others specific to a particular instrument. These orofacial problems experienced by musicians, common across instrument types, include orthodontic problems, soft tissue trauma, focal dystonia, denture retention, herpes labialis, dry mouth, and the consequences of routine dental treatment and have the following corresponding therapeutic options [1].
Certain factors may be combined during the playing of musical instruments to alter the equilibrium between skeletal and dental structures and produce malocclusion. These include the type of mouthpiece, the number of hours playing the instrument, the teeth position, and the forces introduced by the tongue and facial muscles during playing. Forces produced by the playing of wind instruments are larger than those produced by average muscle, and they may reach levels of sufficient magnitude, duration, and direction to produce a malocclusion or help to correct one. These are potentially harmful forces to teeth and the occlusion if exerted for sufficient time. Many professional musicians play several wind instruments and the resulting influences on the dentition may be in different directions. Fortunately for many amateur musicians, daily practice lasts for 90 minutes or less and is usually not long enough to bring about significant dental or skeletal changes. In contrast, serious wind musicians practice more than three hours daily which may be harmful and will require greater dental supervision. Single-reed instruments tend to increase overjet and overbite, and double-reed instruments tend to reduce overjet and increase overbite. Instruments with a small aperture can help to reduce overjet, and increase overbite and may benefit a person with a short or weak upper lip or a protruding lower lip [1].
Trauma to the lips and cheek can be felt after a lengthy practice session of playing a wind instrument. This usually leads to pain and ulceration which can interfere with the formation of the embouchure and the quality of performance, especially during fixed orthodontic treatment. The use of wax, removal of protruding, sharp, or rough surfaces, and the polishing of brackets and teeth are recommended [1]. An acrylic lip shield can help reduce irritation and protect the anterior teeth from excessive backward pressure [1,30]. Some musicians use sometimes their own ‘shields’ such as soft material, rubber, tape, or folded tissue paper to cushion the impact of the teeth on the soft tissue. Commercial lip guards are also available [1,30,31].
Focal dystonia, also known as occupational cramp, is a relatively uncommon condition, very resistant to therapy, and may curtail a musical career. It has been reported by violinists and musicians who play both woodwind and brass instruments. The focal dystonia in muscles of the lips, face, jaw, and tongue results in a loss of control of the muscles of the embouchure and the condition is painful. Early, differential diagnosis is beneficial, where the pain cannot be explained by any other pathology. Referral to a neurologist may be necessary. Treatment may include physical, psychotherapeutic, or behavioural techniques [1,32].
Splints, lip shields, and partial and full dentures intrude on the embouchure and require cooperation and re-adjustment if a satisfactory result is to be achieved. The problems encountered by wearing prosthetic appliances during playing are two-fold – painful soft tissue lesions and a risk to the embouchure. Reducing bulk, smoothing the labial aspects of dentures, splints, or shields, and having blunt or rounded incisal edges on teeth will reduce labial soreness. Appliances are subjected to considerable intra-oral air pressure and muscle forces that may reduce their retention and stability. Other methods, like osseointegrated titanium dental implants, are reported as having a 95% long-term success rate in overcoming these problems. A personalized embouchure can be manufactured using soft acrylic over a denture to increase stability and reduce soft tissue discomfort. A third means of increasing denture stability is to construct a special ‘embouchure denture’ for use whilst playing, with interlocking inclined planes and a bite opening customized to the position of the instrument. In case of necessary extractions, it is important to replace the missing tooth (especially anterior teeth) as soon as possible to preserve the embouchure [1,30]. In constructing crowns, attention should be paid to reproducing a similar bulk to the original, reducing spaces, and round or blunt edges [1].
Mechanical trauma of the lips during playing precipitates labial herpetic lesions, and outbreaks are more common during times of stress such as around the time of a performance. The use of 5% Acyclovir cream is recommended. However, wind musicians who suffer frequent outbreaks require prophylactic oral acyclovir [1,31].
During the playing of a wind instrument, more saliva is produced than usual and it tends to collect on the floor of the mouth where it remains until swallowed [1]. However, nervousness especially associated with performance, is common and may produce a dry mouth [1,30]. The duration of practice and performance increases anxiety and constant intake of air increases the need for fluids. Plain water is the preferred drink used by musicians for rehydration during practice and the dentist should explain the potential for erosion from acidic beverages and the consequences to the musician. The subsequent worn, sharp, or rough incisal edges can traumatize or irritate the labial mucosa and compromise the formation of the embouchure [1,30]. Furthermore, tooth sensitivity caused by erosion can be exacerbated by the frequent rapid deep intake of air required during playing [1].
Dentists who are treating wind instrument players should take care in reducing sharp edges on teeth and smoothing restorations. The musicians should be warned of any unavoidable changes to tooth morphology following treatment so that readjustment time for lips and tongue can be reduced. Oral hygiene practices should be stressed to these musicians, as mobile teeth are severely detrimental to playing. Due to the intra-oral pressure, the wind musician is advised not to resume playing for two weeks to one month following a simple extraction or surgical removal of impacted third molars. The recovery period depends on the number of teeth extracted, their location, and the extent of the surgical procedure. Where possible, endodontic treatment should be undertaken rather than extractions especially in maxillary posterior teeth [1,30].
I) Single-reed instruments
Wind instruments can be classified into 4 patterns from class A to D, depending on the difference in the lip form and the form of the lead part when playing. The instruments requiring a cup-shaped mouthpiece belong to class A and those requiring a single reed clamped to a mouthpiece belong to class B. The instruments requiring a double reed for a mouthpiece belong to class C and those having a hole or aperture in the head of the instrument for a mouthpiece belong to class D [4,33].
Players of single-reed wind instruments such as the clarinet and saxophone, class B instruments, played intra-orally with a wedge-shaped mouthpiece, are more likely to experience trauma and pain in the lip, teeth, and jaw [4].
Curiously, the instrumentalist’s mouthpiece is the mirror of the musician’s embouchure, where a minimal and slight angulation in the anatomy of the incisal edge is sufficient to change the position of the clarinet [10]. The major part of its weight rests on the lower lip supported by the mandibular anterior teeth. There is also lingual pressure on the maxillary anterior teeth [1,5]. The pain caused by any sharpness or irregularity of the lower anterior teeth from chipped, worn, or crowded teeth cutting into the lip may hinder playing. However, it can be alleviated by small acid-etched composite restorations or by rounding and polishing the sharp edges. A lip shield may solve chronic lip irritation, increase playing time, and protect incisal restorations [1,30,31]. The maxillary anterior teeth may suffer incisal wear from frictional contact with the hard inclined plane of the mouthpiece and crowns or incisal corner restorations in these teeth are vulnerable. An elastoplast or rubber patch placed on the upper surface of the mouthpiece may reduce sliding and wearing of the upper anterior teeth. An acrylic lip shield may be constructed over those upper teeth to relieve pressure on restorations and to spread the load over the remaining sound incisors and canines [1,34]. For clarinet and saxophone players with a deep overbite, the maxillary central (and sometimes lateral) incisors suffer pulpal changes and can be devitalized by the excessive apically directed pressure caused by resting heavily on the mouthpiece [1,30,35]. Endodontically treated incisors can also experience periapical irritation and should be adequately protected from pressure by an acrylic lip shield, palatal splinting, or careful shortening to distribute the pressure across several teeth [1,35]. An eczematous dermatitis called ‘clarinetist’s cheilitis’ can occur in the area where the wooden reed contacts the skin. This reaction is attributed to friction, pressure, and moisture (perspiration or saliva) under the lower lip [1,35]. Single-reed musicians salivate more than other instrumentalists with an associated increase in calculus formation but they do not experience more periodontal problems than others [1,36,37], neither increased alveolar bone loss nor periodontal disease is evident in the presence of good oral hygiene [1,37].
An essential factor in the musical training of every wind instrument player is the development of proper embouchure (the positioning and adjustment of the lips to the mouthpiece of a wind instrument) [29]. An embouchure aid is constructed as a means of relieving those players who suffer chronic lip irritation as a result of playing their instruments [4,29]. Depending on the type of instrument and the type of embouchure the instrument requires, the lips may be drawn against or over the teeth, or both. Many wind players, however, are unable to sufficiently condition inner lip tissue to withstand the pressure created in the formation of the embouchure. This problem is chronic, especially among all single-reed wind instrument players, saxophone, and most clarinet players, who use a music splint, the single-lip embouchure, an oral appliance on their mandibular incisors [29]. This requires the lower lip to be drawn against and slightly over the mandibular teeth, with the reed resting against the lip. The upper lip closes down and around the mouthpiece of the instrument, and surrounds facial muscles holding the lips taut in this position [29]. That is reported to be effective in preventing pain or trauma on the lower lip (irritation of the mucous membrane inside the lip, tear of the membrane in the stressed areas where the teeth’ incisal edges press against it) while playing [4,29] and wearing it can adversely affect the sound quality and playing sensation [4].
Ideally, an average daily practice session, usually three hours a day, gradually toughens lip tissue to withstand this pressure and enables the performer to play for long periods with no adverse effects. Unfortunately, several conditions may interfere with this process [29] and such trauma may lead some musicians to stop playing their instruments [4]. These include irregular fractured, or crowded teeth, teeth with diastemata between them, and worn teeth or with thin incisal edges. Also, the lip tissue may not be adequate to resist the pressure of the incisal edges, or it may be unusually sensitive to it. For musicians who practice and perform regularly, any one of these conditions can be a serious handicap in developing a mature and firm embouchure [4].
With continued playing, the musicians will experience either real discomfort or acute pain. Since lip irritation has always been one of the occupational hazards of wind instrument playing, performers have remedies to deal with it, ranging from the home treatment of wrapping their teeth to the recent trend of seeking professional dental therapy [29]. Dental treatment may be spot grinding at points where the incisal edges cut or bruise lip tissue, reconstruction of teeth that contact lip tissue in the formation of embouchure, construction of a removable matrix designed to cover the mandibular anterior teeth and protect lip tissue, in such a way as to prevent or determine its suppression effect on the lip and teeth and on pain of the jaw [4,29] or orthodontic treatment. Existing protective shields or matrixes are known to be effective, for several years [4,29]. Sheet materials marketed for sports mouthguards are used to create a new custom music splint. These are typically ethylene vinyl acetate copolymer resin, polymorphine, silicone, or polyurethane and they have been reported to be adequate, effective, and durable materials [4]. By using such mouthguards as custom music splints [4], irritation of the mucous membrane can also be economic, without interfering with the formation of correct embouchure [29].
A popular oral appliance is a thin-paper tab [4,29], such as cigarette paper or tinfoil [29], a folded piece of thin paper placed over the mandibular teeth, to prevent painful lip irritation caused by crowded teeth with worn incisal edges [4,29]. This paper tab is affordable and disposable; however, the tab’s fitting accuracy is not good, it does not completely prevent pain and the sensation of playing may be altered with each use [4].
Other musicians use a polyolefin resin protector, available at musical instrument stores or online, and it can be easily fabricated at home [4,38]. However, its thickness is inadequately adapted to the dentition and is sometimes difficult to control [4].
Existing appliances are not optimal for single-reed instrument players, and new countermeasures are required to overcome the effect of the appliance on the playing sensation and sound quality and the lower lip symptoms [4].
II) Brass instruments
The pressure of the metal mouthpiece can cause discomfort or pain if the lips are pressed against rough or rotated teeth, the corners of teeth with protruded teeth, or adjacent spaces [1,5]. The vibration against the mouthpiece can cause painful dry red lips and friction [1,5]. Acrylic shields are less satisfactory than metal ones [1,39]. Temporomandibular joint (TMJ) problems and bruxism are more prevalent in brass instrument players, due to the protrusion of the mandible during embouchure formation. Treatment may include stress management, appliances worn at night, and anti-inflammatory drugs [1,5,30]. Contact dermatitis from allergies to nickel, chrome, or metal alloys used in the mouthpiece or to the polishing solutions used, can affect their playing. These problems may be treated with gold plating of the mouthpiece, alternative solutions for cleaning the instrument, or even surgery [1,31].
III) Bagpipes
Few orofacial problems have been reported like dry mouth [1].
It is also known that other musical instruments cause dental problems too, such as viola and violin. Interesting local factors are found in those professional players, who seem to be at risk and predisposed to TMD [24,40]. This group, after intense playing, may experience facial and TMJ pain or clicking, neck, and shoulder pain [24].
General factors, correlated with the number of playing hours [24,41], such as impaired health, general muscle and joint diseases, local influences such as occlusal disturbances, parafunctional activities, like bruxism and trauma, and psychosocial and psychological factors, can affect the condition of the stomatognathic system [24,42].
Temporomandibular Disorders (TMD) are common within the population in the area of the head and neck [10,24]. They are a recurrent or chronic course of pain dysfunction syndrome [10,24], defined as “a collective term embracing a number of clinical problems that involve the presence of dysfunction or pain on certain areas of the Cranio-Cervico-Mandibular Complex (CCMC)”, such as the masticatory muscles, the temporomandibular joint (TMJ) and associated structures, like the postural muscles of the cervical region, and they can be considered as a sub-group of musculoskeletal disorders [10,24,42].
The patient can be diagnosed with articular disc displacement from its position between the condyle and eminence with reduction [24,43]. Common signs and symptoms of TMD are clicking noises in the temporomandibular joint (TMJ), limited jaw opening (not full), deviations in the mandible and the masticatory muscle’s movement, and/or TMJ pain in the face [24,43]. Depending on these, TMD can be further classified into TMJ’s intra-articular disorders and muscular problems [24].
On the other hand, regarding wind instrument players, the consequence of their musical activity and its relation with the CCMC can be the appearance or development of a TMD, associated with muscle hyperactivity of certain elevator muscles, or even an increase of the intra-articular pressure in the functioning of the TMJ throughout musical performance. These conditions can occur associated with the implemented forces on the mouthpiece of wind instrumentalists, where his/her embouchure is intimately related to the TMJ biomechanics during the performance. A wind instrumentalist’s tooth rotation will lead to a natural response and adaptation of the embouchure [10].
The research diagnostic criteria for TMD (RDC/TMD) is one of the most accepted and reliable diagnostic systems in many studies [10,44].
The application of infrared thermography to the correspondent zones of pain on the CCMC and the piezo-resistive sensors’ support can be fundamental and used as complementary tools of diagnosis to analyze the articular and muscular regions, characterize the anatomy-physiological processes and the wind instrument (clarinet) player’s embouchure [10,45,46]. We should keep in mind that each individual has their own biological response to the applied treatment [10].
The playing positions of the viola and the violin, which is smaller than the viola, are similar and they can vary during a performance. Violinists and violists report teeth clenching in cross-bite, molar cusp fractures, neck pain, and pain in the masticatory muscles [1,5]. They are also prone to TMJ disorders, particularly pain in the region of the right TMJ, due to the pressure on the mandible of holding the instrument and the clenching of the masticatory muscles. In some cases, small repeated injuries can cause pathological remodeling of the right TMJ [1,5,30]. TMJ disorders and neck pain can be treated with modification of the shoulder rest, use of occlusal splints, physiotherapy, and stress management [1,5]. Resting the instrument on the clavicle, sitting rather than standing, and chewing sugar-free gum during practice have been suggested as measures to relieve the players. ‘Fiddler’s neck’ is commonly found in viola and violin players where the instrument rests on the left side of the neck, ranging from chronic dermatitis to serious infection and severe pain [1,47]. Contributing factors include pressure, friction, perspiration, and poor hygiene, and may also include an allergy to some wood. The incidence of the ‘fiddler’s neck’, can be reduced by a custom-made chin rest for the violin or viola player. Other treatment options include altering posture, padding the chin rest, shorter practice times, and placing a cloth between the instrument and the neck [1,5,31,47].
For wind instrument musicians and for violinists, violists, and vocalists, orofacial problems may be detrimental to their careers. These problems may result from playing an instrument or from dental treatment. The prevalence of orofacial problems increases with stress and its management techniques may contain many problems [1,48]. Professional musicians are conscious of the need for oral health, more conscientious than non-musicians concerning dental attendance and oral hygiene habits, and with a lower number of missing teeth. However, few musicians report receiving oral health instructions specific to their playing needs [1,36]. Music teachers, who can observe early signs of trouble, should have the opportunity to increase their knowledge of common orofacial conditions for the benefit of their students. The importance of a dental evaluation before someone selects an instrument to study seriously can be realized by some music teachers. Dentists may receive such referrals and they need to be aware of the impact musical instruments have on the oral cavity and the impact of treating musicians and also to extend their oral health instructions and preventive advice to provide information, relevant to musicians and their teachers [1].
The music players normally seek medical treatment at a late stage because of their belief “no pain, no gain”, so many of them think if there is no pain, they are probably playing correctly. The effort and hard practice are routine, so if pain appears, it will be a consequence of many rehearsals [10].
There are different approaches for the treatment of a TMD: cognitive behavioural therapy, physiotherapy, acupuncture, the use of intra-oral appliances such as occlusal splints, pharmacologic treatment, and in irreversible TMD pathologies surgical treatments [1,10,49].
The conservative method to treat this is by providing a modified Anterior Repositioning Splint (ARPS) that the patient wears while playing [24,50] to recapture the displaced disc by opening the mandible in the protruded position [24].
The role of the dentist and the prosthodontist is crucial and essential. The diagnosis of TMD is a challenging field since its etiology is multifactorial. When dealing with wind instrumentalists this task is even more difficult since trying mainly to eliminate a predisposing factor, such as playing the clarinet, is not a solution [10].
Performing arts medicine emphasizes the major importance of dentistry in the daily life of a professional musician. The dental practitioner must be able to understand the biomechanical interrelations of the musician’s embouchure, where the mouthpiece, the temporomandibular joint, the elevator muscles, and the upper central incisors become a unique structure and if one of these anatomic areas varies, it will directly influence the other [10]. Most dentists base their decisions primarily on their areas of expertise and experience. It is their duty to know and take into consideration the mechanical and structural properties while selecting materials for any prosthodontic procedure [23]. The significance of implementing routine dental screening procedures and examinations and having the necessary biomedical devices, like infrared thermography and the use of sensors, can be an additional value when diagnosing and treating a wind instrument player with a TMD. The use of an occlusion splint during the night can reduce the TMD symptomatology present on the clarinet player, the muscle activity during the parafunctional habit of bruxism during sleep, improve the occlusal stability and also reestablish a proper occlusal relationship, favorable for the reduction of the deleterious muscle hyperactivity [10,49]. Employing these techniques in dentistry will create the chance to prevent the overuse of some anatomical structures, with an early diagnosis and correct monitoring of distinct areas of the CCMC [10]. This leads to a decrease in the masticatory muscle pain and discomfort felt on the TMJ. In general, a significant improvement is reported from the first appointment to six months after the treatment using the occlusal splint [10].
Dentists must streamline the available evidence appropriately before presenting the treatment plan to the patient. Educating patients about the benefits and risks of materials will encourage a shared decision-making process between them and the dentist. Dental practitioners have to explain the advantages and disadvantages of each specific appliance type. Factors such as evidence-based clinical performance, feasibility, anticipated treatment outcome, cost of the material, and operator’s expertise must be considered carefully before practitioners recommend prosthodontic options [23].
What is more, clinicians should listen to the patient’s preferences and take them into account before a decision regarding the “best alternative” prosthodontic treatment is made for either aesthetic or functional reasons [23].
A matter in everyday dentistry is the use of materials that could improve dental treatment options and quality of life [22]. Menopause is a specific and critical period in a woman’s life. Some menopausal women face difficulty when performing due to restrictions concerning their symptoms which may prevent the dental provider from choosing extended or complicated dental, mainly prosthodontic, treatment plans including dental implants, and these parameters can affect menopausal women’s quality of life [22,23].
In a multicultural society, a dental practitioner is necessary to consider, that the informed consent process should include a discussion about musical instruments, the problems, and the splints to avoid problems that may be caused and possible distress by playing them. A better understanding of musical instrument problems would enhance the medical care of musicians.
However, to date, there have been not many publications concerning the uniformity in their design or construction, nor their use. Concerning various types of protective devices for players who are not undergoing orthodontic treatment, Porter [51], has successfully experimented with an acrylic protective device (lip shield) for players of single-reed instruments, and Herman [52] has provided some general information about an acrylic lip shield.
The sheet materials of different thicknesses and hardness showed statistically significant different outcomes when used for manufacturing the music splint for wind instrument players. Katada, et al. [53] described the manufacture of a music splint from a dental autopolymerizing resin to prevent lower lip pain. The device covered the labial side of the mandibular anterior teeth. However, it was difficult to control the thickness and morphology of the device, and the resin deteriorated over time [4,54].
The vinyl plastic matrix designed for and used by musicians quickly eliminated chronic lip problems without disturbing the embouchure. The players were able to use the matrix within one or two practice sessions. The device proved to be extremely durable; for more than a year, for hours of daily use without showing any evidence of wear. This type of matrix offers advantages as the process is simple and the amount of time involved is minimal. The dentist needs only to take an impression and spend 10 to 15 minutes of chair time trimming the device. The matrix can be effectively used by most single-reed instrument players with lip irritation. The proper use of the matrix possibly may help retard or even prevent some of the more acute dental problems developed from the playing of single-reed instruments, such as calcifications, root canal shrinkage, and the development of elongated denticles [29].
Regarding the effect on playing sensation and sound quality, the soft 1-mm-thick appliance showed the highest level of satisfaction, however, the 2-layer 2-mm-thick appliance had a significantly lower level of satisfaction than other types of appliance [4]. The music splint might be straightforward to use for wind instrument players who typically use an oral appliance such as the thin-paper tab and suppresses pressure and pain on the lower lip. It is also suggested that the thin-type appliance can provide satisfactory playing sensation and sound quality. Hattori, et al. [55] suggested that the changes in the oral cavity caused by the presence of the prosthesis affected the psychoacoustic features and the performable range of frequency and intensity during the playing of wind instruments. Also, their case report revealed that the adjusted prosthesis showed better performance, and the clarinet player’s satisfaction increased compared with that before the adjustment [56]. As the music splint might create a foreign body sensation for those who did not typically use an oral appliance, the thin type was preferred because of its minimal design [4].
Zaza, et al. (1998), undertook a systematic review of published information on the incidence and prevalence of playing-related musculoskeletal disorders in classical musicians and estimated that these disorders reach a prevalence of 47% in adult music students [57]. Zaza and Farewell found that female string players present a higher risk of playing-related musculoskeletal disorders, associated with the weight of the instrument and the overuse of certain muscles [58].
It is understood that people living in different countries and multicultural societies have different musical habits. Therefore, dental practitioners need to be aware of these oral issues and the problems that may be caused by playing musical instruments [23]. What is more, dentists must not make assumptions about patients’ preferences, viewpoints, and way of life [23] and they should collaborate and share evidence to find acceptable, suitable treatments as the superior or best choice.
Additionally, little is known about what dentists do when they face a musical conflict of this nature and how they navigate through it. There is a lack of basic knowledge concerning the musical splints, their design, and which is the ideal design concerning each musical instrument.
In conclusion, it is widely accepted that scientific multidisciplinary cooperation is very important between the involved health practitioners, medical and dental providers, and patients. Clinicians and dental practitioners need to have the knowledge to be sensitive to a patient’s individual, cultural background. Many procedures and treatments require that clinicians inform their patients, and describe to them the procedure and the type of materials to be used within a treatment plan. The dental profession can be advanced and the dental patient experience can be enhanced when we adapt to the musicians’ needs and desires in order to improve their quality of life and perform adequately.
Subscribe to our articles alerts and stay tuned.
This work is licensed under a Creative Commons Attribution 4.0 International License.

PTZ: We're glad you're here. Please click "create a new query" if you are a new visitor to our website and need further information from us.
If you are already a member of our network and need to keep track of any developments regarding a question you have already submitted, click "take me to my Query."