Cite this as
Yadav K (2018) Left Hepatectomy for Hepatocellular Carcinoma left liver with underlying cirrhosis and portal hypertension. Arch Clin Gastroenterol 4(1): 015-017. DOI: 10.17352/2455-2283.000050Introduction: Hepatocellular carcinoma (HCC) is a major public health problem worldwide and is the second most common cause of cancer related deaths worldwide. If liver functional reserves and future liver remnant are adequate than liver resection is preferred choice in Child Pugh class A and selected cases of early Child Pugh class B, while Child Pugh B and C are candidates for liver transplantation.
Case Presentation: The present case describes technical details of left lobectomy with underlying cirrhosis and mild portal hypertension.
Discussion: Case described in this report provide guidance that liver resection is the optimal treatment strategy for localized hepatocellular carcinoma in background of child Pugh A cirrhosis.
Conclusion: Liver resection is the treatment of choice for localized liver cancer in suitable patients if the future liver remnant is adequate and liver functions are within acceptable range. Clinical assessment, liver function evaluation, radiological interpretation, sound surgical skills and good perioperative care are the key for a successful outcome after surgical treatment for liver resection.
Hepatocellular carcinoma (HCC) is a major public health problem worldwide and is the second most common cause of cancer related deaths worldwide [1]. Strategies for improving treatment are still continuing which encompass all disciplines of medical science. In this era, offering curative treatment for localized liver cancer is possible because of decades of efforts, data collection and planning by liver experts. Most of cases of HCC present at a late stage and <30% are operable because of disease burden [2,3]. HCC arises in the background of underlying liver disease in 90% of cases [4]. Underlying liver parenchymal diseases impair the regenerative power of liver and increase the chances of posthepatectomy liver failure (PHLF). Patients with cirrhosis have high risk of PHLF depending upon the functional reserve of liver [5]. Preoperative evaluation, proper optimization, and treatment selection are very crucial in the management of HCC. If liver functional reserves and future liver remnant are adequate than liver resection is preferred choice in Child Pugh class A and selected cases of early Child Pugh class B, while Child Pugh B and C are candidates for liver transplantation [6]. In present case we describe the technical details of left lobectomy with underlying cirrhosis and mild portal hypertension.
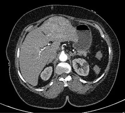
62 years diabetic, hypertensive and obese (body mass Index 38) patient with hepatitis C positive status suffered from pain right side abdomen. She got detected with a liver mass on ultrasonography. There was no history of upper gastrointestinal bleed, abdominal distention or disorientation. She was evaluated further with triphasic CECT liver; which revealed 7X10X8 cm mass in the left liver involving segments II, III & IV. This mass showed an early enhancement in the arterial phase and delayed washout suggesting hepatocellular carcinoma (Figure 1). Underlying liver parenchyma also showed some signs of cirrhosis. PET scan confirmed no distant metastasis. Biochemical analysis reported hemoglobin 13.5 g%, total leukocyte count 7700/ cmm, platelets count 2.56 lac/cmm, serum bilirubin 0.8 mg, prothrombin time 12.3sec and INR 1.08. This patient was classified in Child Pugh class A (score 5). She was evaluated for signs of portal hypertension. Upper gastrointestinal endoscopy was normal and portal vein pressure was 11 mmHg suggesting mild portal hypertension. Future liver remnant by automated liver volumetric analysis for left hepatectomy excluding middle hepatic vein was 76% and for left hepatectomy including middle hepatic vein was 70%.
62 years diabetic, hypertensive and obese (body mass Index 38) patient with hepatitis C positive status suffered from pain right side abdomen. She got detected with a liver mass on ultrasonography. There was no history of upper gastrointestinal bleed, abdominal distention or disorientation. She was evaluated further with triphasic CECT liver; which revealed 7X10X8 cm mass in the left liver involving segments II, III & IV. This mass showed an early enhancement in the arterial phase and delayed washout suggesting hepatocellular carcinoma (Figure 1). Underlying liver parenchyma also showed some signs of cirrhosis. PET scan confirmed no distant metastasis. Biochemical analysis reported hemoglobin 13.5 g%, total leukocyte count 7700/ cmm, platelets count 2.56 lac/cmm, serum bilirubin 0.8 mg, prothrombin time 12.3sec and INR 1.08. This patient was classified in Child Pugh class A (score 5). She was evaluated for signs of portal hypertension. Upper gastrointestinal endoscopy was normal and portal vein pressure was 11 mmHg suggesting mild portal hypertension. Future liver remnant by automated liver volumetric analysis for left hepatectomy excluding middle hepatic vein was 76% and for left hepatectomy including middle hepatic vein was 70%.
For localized hepatocellular carcinoma surgery is the preferred modality of treatment. Liver resection and liver transplantation; both are complementary procedures depending upon underlying liver functional reserves. Liver resection is preferred choice for Child Pugh class A and early B if the future liver remnant is adequate. Child Pugh class B and C are usually candidates for liver transplantation [6]. Apart from liver function portal hypertension in itself is an important factor determining poorer outcomes after liver resection. Splenomegaly, thrombocytopenia and esophageal varices are the indirect indicators of portal hypertension [6,7]. So there are multiple factors, each of which plays an important role in the management decision of HCC and these include tumor related factors, liver functional reserve, future liver remnant, underlying liver parenchyma status with association of portal hypertension and performance status of the patient [5-7].
Improvement in surgical techniques, better understanding of principles of liver resection and improved perioperative care leads to better outcome after liver resection with <4% risk of mortality [8,9]. If the future liver remnant is adequate and the tumor is resectable, than size and number are not the limiting factors for curative treatment [10,11]. Ng et al., studied that large or multinodular HCC could be safely resected, with a five-year overall survival of 39% and disease-free survival of 26% being achievable [12]. Major main portal vein involvement is considered a contraindication for liver resection, but involvement or thrombus within the branch of segments to be resected is not [12]. Patients with portal vein invasion have poorer prognosis compared to no thrombus [14].
After understanding all these factors the decision for liver resection should be by careful assessment and proper patient selection. The patient selection here provide guidance that liver resection is the optimal treatment strategy for localized hepatocellular carcinoma in background of child Pugh A cirrhosis. Though this patient has mild portal hypertension, but her clinical parameters i.e. white blood cell counts, platelets and spleen were normal. Refined surgical techniques results in good outcomes.
Liver resection is the treatment of choice for localized liver cancer in suitable patients if the future liver remnant is adequate and liver functions are within acceptable range. Clinical assessment, liver function evaluation, radiological interpretation, sound surgical skills and good perioperative care are the key for a successful outcome after surgical treatment for liver resection.
Subscribe to our articles alerts and stay tuned.
This work is licensed under a Creative Commons Attribution 4.0 International License.

PTZ: We're glad you're here. Please click "create a new query" if you are a new visitor to our website and need further information from us.
If you are already a member of our network and need to keep track of any developments regarding a question you have already submitted, click "take me to my Query."