Cite this as
Turdikulov IH, Mamadiyorov BN, Saidmuhammedova MQ, Atakhanov AA (2020) Obtaining and studying properties of biodestructable composite films based on polyethylene. Open Journal of Chemistry 6(1): 030-036. DOI: 10.17352/ojc.000021At present, polyolefins are a heavily produced thermoplastic, and they are used in different industries. Approximately one-third of produced plastics are used in the packing industry, and this volume will only be increased in the future. The advantages of plastic packaging , such as strength, flexibility, moisture stability, comfort, safety and low cost, are accompanied by a disadvantage: they do not decompose in natural conditions, which causes considerable ecological problems, namely, plastic waste composes half of the domestic rubbish.
At present, polyolefins are a heavily used of thermoplastic, and they are used in different industries. Approximately one-third of produced plastics are used in the packaging industry, and this volume will only be increased in the future [1,2]. The advantages of plastic packaging, such as strength, flexibility, moisture stability, comfort, safety and low cost, they also possess one disadvantage: they do not decompose in natural conditions, which causes considerable ecological problems, namely, plastic waste composes half of the domestic rubbish.
Polyethylene (PE) and Polypropylene (PP) are widely used polyolefins for the manufacturing of packaging materials [3]. Al-Salem, S., Lettieri P., Baeyens, M. J. [4] found that solid domestic waste lost its consumption properties early; their traditional methods of utilization involve dumping or burning. When they are burned, harmful compounds are emitted into the atmosphere. The use of two-component polymers for decomposition can be a solution to environmental pollution by polymer waste. Biodegradable polymer materials can be decomposed during a definite period of time to low-molecular-weight compounds that can be used by different microorganisms under the action of different factors (e.g., the temperature, UV irradiation, water exposure and oxygen exposure). Natural polymers and their modified based on starch cellulose, chitin [5,6] and polymers synthesized from renewable raw materials using biotechnological methods, namely, polyhydroxyalkanoates, polylactides, and degradable aliphatic polyesters from oil-chemical raw materials, such as polycaprolactam and polyesteramides [7-9], can be used as initial materials to obtain biodegradable polymer materials.
However, biodegradable polymers have disadvantages, such as relatively high cost, low mechanical strength, operational characteristics, and low thermostability, which have prevented the expansion of their widespread use in the packing industry. At present, it is not possible to implement all demands for their use, which can introduce limits or exclude the use of biopolymers [10].
To overcome these limitations, the most effective methods involve the use of compositional materials based on polyolefins, including different fillers, such as natural polymers [11-13], and the use of oxo-additions to initiate the decomposition of polyolefins in environmental conditions.
The oxo-decomposition of plastics is based on the oxidation of polymer materials under the action of external environmental factors (e.g., UV irradiation and exposure to O2 in air) and formation of low molecular weight compounds. In the literature, there are many investigations [14-16] of decomposable compositions of polyolefins and oxo-additives, which are comonomers with functional groups that promote photodestruction (e.g., vinylketones and CO) or photocatalysts (compounds of metals with a variable valence, like Fe, Ni, Co, and Mn)
Additionally, to improve the biodegradability of polymers, investigations have been carried out that involve grafting hydrophilic compounds in the structure of synthetical polymers by copolymerization, which changes the chemical and physical properties of the initial polymers [17-20].
Materials based on polyolefins with natural additions, such as starch [21,22] arboreal meal [23], natural rubber [24], chitosan [23], cellulose [26] and different natural fibres [27,28], are widely used.
However, such mixtures are not fully biodegradable because under the action of natural factors, they decompose to form dispersion products, but at this point, their polymer base has remained undecomposed [10]. These materials did not decompose completely under natural conditions, but the structure of the packaging materials was destroyed. These fillers decomposed completely, but the synthetic part was scattered as a powder, preventing the accumulation of large solid waste. Such materials can be referred to as ‘biodegradable materials’.
The addition of natural fillers enables biodegradability but also substitution of oil-based raw materials that are not renewed and a decrease in the cost of obtained products [29].
The aim of this work is to obtain biodegradable polymer films based on PE and starch and different types of nanocellulose and to investigate their properties, physico-chemical characteristics and biodegradability.
The materials included low-density linear PE from the Shurtan Gas Chemical Complex (Uzbekistan) at mark F-0320 with a melting flow index of 0.31 g/10 min (190°C, 2,16 kg); industrial sample of corn starch (Stc), potatoes starch (Stp), and rice starch (Str); and nanocellulose (NC) obtained from cotton cellulose by acid hydrolysis. Their base compositions were the objects of this investigation.
The preparation of the compositions was carried out under the action of a high-temperature laboratory rotary mixer by Brabender. Vasilenko, A. Yu. [30] showed that this method is effective for obtaining polymer compositions with improved exploitation properties and provided the best distribution of the filler in the polymer matrix [31].
Fabrication of the components was carried out at a temperature of 190±2°C and rotor rotation of 30 turnovers/min. In the mixing chamber, in accordance with the desired composition, the PE with filler was loaded and then mixed for 20 min. After mixing, the obtained composite was removed from the mixer and cooled in air at 25±2°C. The content of the filler in the composites was varied as follows (mass %): 5, 10, 20, 30 and 40.
The blends were compression molded into sheets 2 mm thick using 20 x 20 cm window frame molds in Hydraulic Press, Model CMP 30. The platens of the press were heated to 190°C. The window was placed between two glazed sheets, already sprayed with silicon mold release agent on the contact surface and filled with preweighed material. The assembly was then placed in the hydraulic press and initially heated for 6 min without applying any pressure to ensure uniform heat flow through the material. The temperature was maintained at 190°C for all the compositions of blends for 10 min at a pressure of 25 t, which was applied gradually during the first 5 min. The sheet thus obtained was removed from the press after cooling to room temperature. Round film samples with a diameter of 6 sm and thickness of 130±10 mkm were obtained.
An investigation of the structure of the obtained films was carried out on an optical microscope by Motic. The transparency of the films was determined on a SKF 120C fully automatic spectrophotometer. The melt flow index (MFI) of the samples was investigated on a DH-MI-BP tester. The mechanical properties of the films were determined on a TM2101tensile testing machine. The rheology of the composites was investigated with a rheostat.
The biodegradation of the obtained samples was determined by two methods. In the first method, films under definite conditions were subjected to the action of a natural complex of soil microflora, and the stability of the microbiological decomposition as a function of the outer appearance and mechanical strength was determined. The testing mixture (soil) was prepared from sand horse manure and garden earth in equal quantities by mass. The soil before tests was sustained for 2 months at a temperature of 20±5°C and moisture of 30%.
Changes in the mass and outer appearance of the film samples after exposure to water for a definite period of time were determined with the second method.
Obtaining composites of PE and starch by thermomechanical mixing requires a highly uniform distribution of starch molecules in the volume of melted PE. The presence of starch in the volume of PE influenced the processing due to the transmission of the composite in the liquid state. Therefore, it is very important to investigate the behaviour of composites in the liquid state with air to determine the peculiarities of structural and phase transformations in the flow.
PE is classical thermoplastic that involves transferring its granules in the melted state in the range from 150-200°C. When PE is higher 200°C, it can undergo thermo-oxidation. Decreasing the temperature to 150°C resulted in the loss of fluidity of the melt, and in the temperature range of 80°C, PE hardened. For this reason, the processing of PE as a liquid-solid body is important. The results of the PE starch composites in shear flow are presented as the dependence of the rate gradient (γ) on the temperature (t, °C) (Figure 1). With a temperature above 140°C, samples started to flow, which indicates that it was melting. From 150°C to 180°C, the rate gradient monotonically increased for the PE from 0.56 to 1.2 c-1 and for the PE-starch composite from 0.5 to 1.1 c-1. Such a change in the frequency of the rate gradient with increasing temperature indicates that the fluidity of the PE melt increased owing to decreasing intermolecular bonds under the action of heat on the moving flow. In the case of the composites, a decrease in the gradient was caused by the influence of the starch on the fluidity, that is, by increasing the viscosity of the melt of this system. Decreasing the temperature was accompanied by a decrease in the velocity gradient, and at t=100°C, the fluidity of the melts practically stopped. In the region of t<80°C, the melts passed into the solid state. In general, in the temperature range from 145-175°C, the rate gradient of melting samples changed insignificantly. In this temperature interval, PE:starch can be processed as PE as a thermoplastic material.
An analysis of the MFI changes as a function of the PE:filler ratio and its nature allowed us to determine changes in the rheological parameters (Table 1).
As shown in Table 1, increasing the content (mass %) of the fillers in the composites decreased the MFI, that is, the compositions had a high viscosity. The lowest viscosity was observed for the composite with a filler content of 5 mass % in the polymer matrix. High MFI values were observed when a high filler content (40 mass %) of corn starch was used, and the dimensions and form of the filler particles obviously influenced the viscosity of the composites to a great degree. Composites containing a highly dispersed filler had a decreased viscosity.
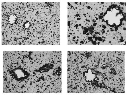
Optical investigations of the composite films showed that with increasing filler content, an increased number of large particles (agglomerates) were present in the polymer matrix. After an increased time of component mixing, a uniform distribution of the filler in the matrix of PE was observed (Figure 2).
The presence of starch in the composites influenced the transparency of the films. It was shown that with increasing filler content in the composites, the transparency of the films decreased (Table 2) Figure 3.
It was found that the index of strength limit (ISL) at tension was higher for compositions PE/Stc in comparison with other samples at the same content of natural fillers. A decrease in the strength characteristics of the compositional films was observed following raw РЕ/Stc>РЕ/Stp>РЕ/Str. In films obtained by the addition of nanocellulose (NC), the same raw of decreasing mechanical strength was preserve (Table 3).
The ability of composite materials based on polyolefin and natural fillers to decompose and be assimilated by microorganisms is dependent on the characteristics of the polymeric matrix and filler, which determines the structure of the final product. For example, polyolefins with a low molecular mass that possess a branched structure and a low degree of crystallites have an improved biodegradability. However, to a considerable degree, the biodegradability of composites is determined by the content and chemical composition of the filler and the dimensional parameters and form of the particles. Polymeric materials in the environment are subjected to physical, chemical and biological factors.
One of the factors determining the low ability of polyolefins to biodegrade is their low ability to absorb water, which is necessary for the development of microorganisms. Film samples were tested for water action (Figure 4).
In all cases, a monotonic change in the mass was not observed. After 40-60 days of testing, the mass of films increased 1.5-11% depending on type of filler. Polyolefin with fillers had an increased water absorption and swelling compared with those for the PE without fillers, which increased the accessibility for the microorganisms. Fermentation occurred due to the microorganisms and moisture of the soil.
On some curves, of the mass increase was connected to the swelling of surface layers, after which there was a sharp decrease in the mass.
This is connected with the removal of low molecular weight fractions on the surface during the first days, and then the process stabilized. In some cases, swelling occurred due to penetration of the solvent in intermolecular spaces.
The decrease in the mass of the composites depended on the portion of soluble components, dimensions of the filler particles and availability of the fillers in the polymer matrix (i.e., the concentration).
The films were also buried in soil, and then, the strength after 60 days were investigated (Figure 5).
As shown in Figure 5, the top surfaces of the films changed, and bioaccumulation of microorganisms on the surfaces of the polymer materials was observed. Natural fillers, owing to their hydrophilicity and assimilation by microorganisms, increased the microorganism adhesion on the polyolefin surfaces, which accelerated the attachment of microorganisms on the surface of the composites due to bioaccumulation. Free radicals forming in the process of filler degradation initiated the destruction of the polyolefin matrix.
The physico-chemical properties of the composite films after composting for 60 days in specially prepared biohumus were investigated. It was determined that the mechanical properties decreased after composting due to degradation of the polymer. An analysis of the physico-chemical results (Table 4) showed that the tensile strength in the longitudinal direction decreased by 20% and more.
This results are explained by the fact that under the action of the microflora, the structure of the composites was lost. An investigation of the physico-mechanical properties of the samples showed qualitative changes in the structure of the composite materials during the process of biodegradation. Microfungal colonies promoted the decomposition of the biocomponents entering the polymer materials. The accumulation of fragments of the composite materials by the soil microorganisms and their degradation decrease the strength of the composites.
As preliminary optical investigations of the composite films after 90 days showed (Figure 6), damage to the film structures occurred due to the formation of holes (biological corrosion). These holes increased the sensitivity of the materials to the actions of the chemical and mechanical factors and increased their decomposition.
It is necessary to note that the index of biodegradation of the PE did not change during the entire period of the investigation. The biodegradation of the composites after being buried for 90 days in the soil ranged from 30-50% The damage included changes in the colour, a decrease in the mass biological accumulation of biomaterials in the samples, oxidation of the polymer with accumulation of end carboxylic groups and mechanical destruction. Mastalygina Ye [32] showed that changes in the colour can be due to removal of fillers that are soluble in water and can undergo hydrolysis; the colour change may also be due to the accumulation of melanin-type pigments, which are products of the metabolism of certain moielialic fungi and bacteria.
Biodegradable compositional films based on PE and natural fillers (different starches and nanocellulose) were fabricated. The filler composition was varied from 5 to 40 mass %. A wide range of compositions allowed us to fabricate materials with different structures and to determine precise changes in the properties of the mixtures ( materials) during transmission from one component composition to another.
The rheological behaviour of a PE melt with starch during shear flow was investigated, and the range of temperatures (145-175°C) was determined based on when the values of the rate gradients of the melted samples did not change to a great degree. In this temperature interval, the composites could be processed as thermoplastic PE is typically processed.
Analysis of the MFI of the compositions showed that the lowest viscosity during melting was observed for compositions containing 5 mass % filler in the polymer matrix. High values of the MFI at low fillers contents (40% and more) were observed using corn starch. The micrographs of the obtained composites clearly showed filler particles, and at this point, their form depended on their nature. With increasing filler content in the composites, additional large particles in the polymer matrix were observed. With increasing component mixing time, a more uniform distribution of the filler in the PE matrix was observed.
An investigation of the mechanical properties of the films showed that the introduction of the filler in the composites decreased their strength. This was observed following the fact that the higher the filler content was, the lower the rupture strength of the films.
The filled polyolefins had higher indexes of water adsorption and swelling than those of the PE, which increased the ability of these materials to possess microorganisms. After 60 days of composting the films in a special humus, the bioaccumulation of microorganisms on the polymer materials changed the surfaces. It was determined that the mechanical properties after composting decreased due to the destruction of the polymer matrixes. An analysis of the results of the physico-mechanical investigations showed that for a change in the composition, the strain in the longitudinal direction decreased by more than 20%. This can be explained by the fact that under the action of microflora, the structure was loosened.
An investigation of the physico-mechanical properties of the samples visually demonstrated the changes in the structure of the composites during biodegradation. After 90 days of exposure to soil, the film structure was damaged because of the formation of holes. The materials became more receptive to the action of chemical and mechanical factors, which increased the biodegradation.
Subscribe to our articles alerts and stay tuned.
This work is licensed under a Creative Commons Attribution 4.0 International License.

PTZ: We're glad you're here. Please click "create a new query" if you are a new visitor to our website and need further information from us.
If you are already a member of our network and need to keep track of any developments regarding a question you have already submitted, click "take me to my Query."